40 Tuổi Có Niềng Răng Được Không? Thời Gian Bao Lâu Và Phương Pháp Phù Hợp
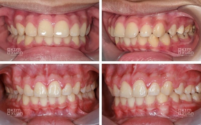
40 Tuổi có niềng răng được không? 40 tuổi vẫn hoàn toàn có thể niềng răng nếu răng, nướu và xương hàm còn khỏe mạnh. Chỉnh nha ở độ tuổi này giúp cải thiện thẩm mỹ nụ cười, điều chỉnh khớp cắn và nâng cao chức năng ăn nhai. Tuy nhiên, do xương hàm đã phát triển ổn định nên quá trình dịch chuyển răng thường diễn ra chậm hơn so với người trẻ, vì vậy thời gian điều trị có thể kéo dài khoảng 2 - 3 năm tùy vào tình trạng răng ban đầu.
Hiện nay, với sự phát triển của nha khoa hiện đại, nhiều phương pháp chỉnh nha thẩm mỹ đã ra đời như niềng răng mắc cài sứ, mắc cài tự buộc hoặc khay trong suốt Invisalign. Những phương pháp này không chỉ mang lại hiệu quả chỉnh nha cao mà còn giúp người trưởng thành tự tin hơn trong suốt quá trình điều trị.
Ngày nay, niềng răng không còn là phương pháp chỉ dành cho trẻ em hay thanh thiếu niên. Rất nhiều người trưởng thành trong độ tuổi 30 - 40, thậm chí 50 tuổi vẫn lựa chọn chỉnh nha để cải thiện khớp cắn, bảo vệ sức khỏe răng miệng và nâng cao sự tự tin khi giao tiếp.
Vậy 40 tuổi niềng răng có hiệu quả không, mất bao lâu và nên lựa chọn phương pháp nào? Hãy cùng tìm hiểu chi tiết trong bài viết dưới đây.

1. 40 Tuổi Có Niềng Răng Được Không?
Câu trả lời là có. Trên thực tế, 40 tuổi vẫn có thể niềng răng nếu sức khỏe răng miệng và cấu trúc xương hàm đảm bảo. Niềng răng không bị giới hạn bởi độ tuổi mà phụ thuộc chủ yếu vào tình trạng răng, nướu và xương hàm của mỗi người.
Niềng răng (chỉnh nha) hoạt động dựa trên nguyên lý tạo lực kéo nhẹ và liên tục để dịch chuyển răng về đúng vị trí trên cung hàm. Khi lực chỉnh nha tác động lên răng, xương ổ răng sẽ dần tái tạo và thích nghi, giúp răng di chuyển ổn định đến vị trí mới.
Người 40 tuổi niềng răng vẫn đạt hiệu quả tốt nếu đáp ứng các điều kiện sau:
-
Xương hàm còn chắc khỏe
-
Nướu và mô nha chu ổn định
-
Không bị tiêu xương nghiêm trọng
-
Các bệnh lý răng miệng đã được điều trị trước khi chỉnh nha
Trong nhiều trường hợp, niềng răng ở tuổi 40 còn giúp khắc phục các vấn đề khớp cắn tồn tại lâu năm như răng lệch lạc, chen chúc, cắn sâu hoặc hô nhẹ, từ đó cải thiện chức năng ăn nhai và thẩm mỹ nụ cười.
Xem Thêm: Niềng Răng Trẻ Em Sớm Có Được Không?
Xem Thêm: 20 Tuổi Niềng Răng Mất Bao Lâu?
Xem Thêm: 30 Tuổi Có Niềng Răng Được Không?

2. Vì Sao 40 Tuổi Vẫn Nên Niềng Răng?
Nhiều người cho rằng niềng răng chỉ dành cho trẻ em hoặc thanh thiếu niên. Tuy nhiên, trên thực tế 40 tuổi niềng răng vẫn mang lại nhiều lợi ích không chỉ về thẩm mỹ mà còn giúp cải thiện sức khỏe răng miệng và chức năng ăn nhai.
2.1. Cải Thiện Thẩm Mỹ Nụ Cười
Ở độ tuổi 40, nhiều người vẫn gặp các tình trạng như:
-
Răng hô
-
Răng móm
-
Răng thưa
-
Răng chen chúc
-
Khớp cắn lệch
Những vấn đề này có thể khiến nụ cười kém hài hòa và làm nhiều người mất tự tin khi giao tiếp. Niềng răng ở tuổi 40 giúp sắp xếp răng đều hơn, cải thiện thẩm mỹ và mang lại nụ cười tự nhiên, hài hòa với khuôn mặt.
Xem Thêm: Niềng Răng Hô Có Hiệu Quả Không?
Xem Thêm: Niềng Răng Móm Mất Thời Gian Bao Lâu?
2.2. Cải Thiện Chức Năng Ăn Nhai
Sai lệch khớp cắn có thể gây ra nhiều vấn đề trong quá trình ăn nhai như:
-
Khó nhai thức ăn
-
Mòn răng không đều
-
Đau khớp thái dương hàm
Chỉnh nha giúp cân chỉnh lại khớp cắn, từ đó phân bố lực nhai hợp lý hơn và cải thiện hiệu quả ăn nhai.
2.3. Giảm Nguy Cơ Bệnh Răng Miệng
Khi răng mọc lệch hoặc chen chúc, việc vệ sinh răng miệng sẽ trở nên khó khăn hơn. Điều này làm tăng nguy cơ:
-
Sâu răng
-
Viêm nướu
-
Viêm nha chu
Sau khi niềng răng tuổi 40, răng được sắp xếp đều hơn nên việc chải răng và sử dụng chỉ nha khoa trở nên dễ dàng, giúp giảm nguy cơ mắc các bệnh lý răng miệng.

3. 40 Tuổi Niềng Răng Có Hiệu Quả Không?
Câu trả lời là CÓ. Trên thực tế, niềng răng ở tuổi 40 vẫn mang lại hiệu quả rõ rệt nếu được thực hiện đúng phương pháp và theo dõi bởi bác sĩ chỉnh nha có kinh nghiệm.
So với niềng răng ở độ tuổi thiếu niên, chỉnh nha ở người trưởng thành có một số khác biệt nhất định. Ở tuổi 40, xương hàm đã phát triển ổn định và mật độ xương cao hơn, vì vậy tốc độ di chuyển của răng thường chậm hơn so với người trẻ.
Chính vì lý do đó, thời gian niềng răng ở tuổi 40 có thể kéo dài hơn, tùy thuộc vào tình trạng răng ban đầu như răng lệch lạc, chen chúc hay sai khớp cắn.
Tuy nhiên, với kế hoạch điều trị phù hợp và công nghệ chỉnh nha hiện đại, người 40 tuổi vẫn có thể đạt được:
-
Hàm răng đều đẹp
-
Khớp cắn cân đối
-
Chức năng ăn nhai tốt hơn
-
Nụ cười tự tin hơn
Xem Thêm: Niềng Răng Mọc Lệch Lạc Giá Bao Nhiêu Tiền?
Xem Thêm: Niềng Răng Vẩu Mất Bao Lâu?
4. 40 Tuổi Niềng Răng Mất Bao Lâu?
Thời gian niềng răng ở người trưởng thành thường dao động từ 18 - 36 tháng.
Thời gian điều trị phụ thuộc vào nhiều yếu tố:
4.1. Mức độ lệch lạc của răng
-
Lệch nhẹ: 18 - 24 tháng
-
Lệch nhiều hoặc sai khớp cắn phức tạp: 24 - 36 tháng
4.2. Phương pháp chỉnh nha
Một số phương pháp hiện đại có thể giúp tối ưu lực kéo và rút ngắn thời gian điều trị.
4.3. Tình trạng răng miệng ban đầu
Nếu có sâu răng, viêm nướu hoặc viêm nha chu, bác sĩ cần điều trị trước khi niềng.
4.4. Sự hợp tác của bệnh nhân
Tuân thủ lịch tái khám và chăm sóc răng miệng đúng cách sẽ giúp quá trình chỉnh nha diễn ra thuận lợi hơn.
Xem Thêm: Niềng Răng Có Đau Không?

5. Các Phương Pháp Niềng Răng Phù Hợp Cho Người 40 Tuổi
Hiện nay, có nhiều phương pháp niềng răng phù hợp cho người trưởng thành, giúp cải thiện thẩm mỹ nụ cười và điều chỉnh khớp cắn hiệu quả. Tùy vào tình trạng răng miệng, nhu cầu thẩm mỹ và điều kiện tài chính, bác sĩ sẽ tư vấn phương pháp niềng răng tuổi 40 phù hợp nhất.
5.1. Niềng Răng Mắc Cài Kim Loại
Niềng răng mắc cài kim loại là phương pháp chỉnh nha truyền thống sử dụng hệ thống mắc cài và dây cung kim loại để tạo lực kéo giúp răng di chuyển về đúng vị trí trên cung hàm.
Ưu điểm:
-
Hiệu quả chỉnh nha cao
-
Chi phí hợp lý
-
Phù hợp với nhiều trường hợp răng lệch lạc hoặc sai khớp cắn phức tạp
5.2. Niềng Răng Mắc Cài Sứ
Niềng răng mắc cài sứ hoạt động tương tự mắc cài kim loại nhưng mắc cài được làm từ vật liệu sứ có màu gần giống răng thật, giúp tăng tính thẩm mỹ trong quá trình điều trị.
Phương pháp này đặc biệt phù hợp với người trưởng thành cần giao tiếp nhiều nhưng vẫn muốn đảm bảo hiệu quả chỉnh nha.
5.3. Niềng Răng Mắc Cài Tự Buộc
Mắc cài tự buộc sử dụng hệ thống nắp trượt tự động để giữ dây cung, giúp lực kéo ổn định và giảm ma sát trong quá trình dịch chuyển răng.
Ưu điểm:
-
Giảm cảm giác đau và khó chịu
-
Hạn chế bung tuột mắc cài
-
Có thể rút ngắn thời gian chỉnh nha trong một số trường hợp
5.4. Niềng Răng Khay Trong Suốt Invisalign
Niềng răng Invisalign sử dụng hệ thống khay trong suốt được thiết kế riêng cho từng giai đoạn dịch chuyển răng. Các khay này có thể tháo lắp linh hoạt nên mang lại sự tiện lợi cho người sử dụng.
Ưu điểm:
-
Tính thẩm mỹ cao, khó nhận ra khi đeo
-
Có thể tháo khay khi ăn uống
-
Thuận tiện trong việc vệ sinh răng miệng
Tuy nhiên, để đạt hiệu quả chỉnh nha tốt, người niềng cần đeo khay tối thiểu từ 20 - 22 giờ mỗi ngày theo đúng hướng dẫn của bác sĩ.
Xem Thêm: Bảng Giá Niềng Răng Tại Nha Khoa Kim Xuân
6. Những Lưu Ý Khi Niềng Răng Ở Tuổi 40
Để quá trình niềng răng ở tuổi 40 đạt hiệu quả tốt và đảm bảo sức khỏe răng miệng lâu dài, người trưởng thành cần lưu ý một số vấn đề quan trọng trong quá trình chỉnh nha.
6.1. Vệ Sinh Răng Miệng Kỹ Lưỡng
Trong quá trình niềng răng, thức ăn dễ mắc vào mắc cài và dây cung. Vì vậy, việc vệ sinh răng miệng cần được thực hiện cẩn thận hơn:
-
Chải răng sau mỗi bữa ăn
-
Sử dụng chỉ nha khoa hoặc máy tăm nước để làm sạch kẽ răng
-
Kết hợp nước súc miệng để hạn chế vi khuẩn và mảng bám
6.2. Tái Khám Đúng Lịch Hẹn
Người niềng răng cần tái khám đúng lịch theo chỉ định của bác sĩ. Trong mỗi lần tái khám, bác sĩ sẽ kiểm tra sự di chuyển của răng, điều chỉnh dây cung và lực kéo để đảm bảo răng dịch chuyển đúng theo kế hoạch điều trị.
6.3. Hạn Chế Thực Phẩm Quá Cứng Hoặc Quá Dai
Trong thời gian niềng răng, nên hạn chế các loại thực phẩm quá cứng hoặc quá dai vì có thể:
-
Làm bung mắc cài
-
Gây biến dạng dây cung
-
Ảnh hưởng đến hiệu quả chỉnh nha
Xem Thêm: Niềng Răng Nên Ăn Gì, Kiêng Gì?
6.4. Điều Trị Các Bệnh Lý Răng Miệng Trước Khi Niềng
Trước khi bắt đầu chỉnh nha, cần kiểm tra và điều trị triệt để các bệnh lý răng miệng như:
-
Sâu răng
-
Viêm nướu
-
Viêm nha chu
Việc xử lý các vấn đề này trước khi niềng răng sẽ giúp quá trình chỉnh nha diễn ra an toàn và hiệu quả hơn.
Xem Thêm: Những Điều Cần Lưu Ý Trước Khi Niềng Răng

Kết Luận: 40 Tuổi Có Niềng Răng Được Không?
Câu trả lời là có. 40 tuổi vẫn có thể niềng răng nếu răng, nướu và xương hàm còn đủ điều kiện khỏe mạnh. Mặc dù quá trình chỉnh nha ở người trưởng thành có thể kéo dài hơn so với người trẻ, nhưng niềng răng ở tuổi 40 vẫn mang lại nhiều lợi ích rõ rệt cho cả thẩm mỹ và sức khỏe răng miệng.
Những lợi ích có thể đạt được sau khi niềng răng bao gồm:
-
Cải thiện thẩm mỹ nụ cười
-
Cân chỉnh khớp cắn hài hòa
-
Hỗ trợ chức năng ăn nhai tốt hơn
-
Giảm nguy cơ mắc các bệnh lý răng miệng
Nếu bạn đang cân nhắc niềng răng ở tuổi 40, việc thăm khám sớm sẽ giúp bác sĩ đánh giá chính xác tình trạng răng, nướu và xương hàm để xây dựng kế hoạch điều trị phù hợp.
Tại Nha Khoa Kim Xuân, đội ngũ bác sĩ sẽ trực tiếp thăm khám, phân tích khớp cắn và tư vấn phương pháp chỉnh nha phù hợp với từng tình trạng răng miệng, giúp bạn đạt được nụ cười đều đẹp và chức năng ăn nhai ổn định lâu dài.
Liên hệ Nha Khoa Kim Xuân để được tư vấn và đặt lịch thăm khám chỉnh nha ngay hôm nay.
Nha Khoa Kim Xuân - Bình Thạnh TP. HCM
Địa Chỉ: 165 Ngô Tất Tố, Phường Thạnh Mỹ Tây, Tp Hồ Chí Minh
Hotline: 0899 922 668 (Viber, Zalo, FaceTime)
ZaLo: https://zalo.me/nhakhoakimxuan
WebSite: https://nhakhoakimxuan.com.vn