Nên Làm Cầu Răng Sứ Hay Trồng Răng Implant? Giải Pháp Nào Tốt Nhất
Mất răng không chỉ ảnh hưởng đến thẩm mỹ mà còn khiến việc ăn nhai trở nên khó khăn, lâu dài có thể dẫn đến tiêu xương hàm. Vậy nên trồng răng sứ hay Implant để vừa đảm bảo chức năng ăn nhai, vừa bền lâu theo thời gian?
Thực tế, mỗi phương pháp đều có ưu điểm riêng. Việc lựa chọn phù hợp sẽ phụ thuộc vào tình trạng răng miệng, xương hàm và nhu cầu của từng người.
Trong bài viết này, bạn sẽ được giải đáp:
-
Sự khác nhau giữa cầu răng sứ và Implant
-
Trường hợp nào nên chọn từng phương pháp
-
Giải pháp tối ưu giúp phục hồi răng mất hiệu quả và lâu dài

1. Cầu Răng Sứ Và Trồng Răng Implant Là Gì?
1.1. Cầu răng sứ là gì?
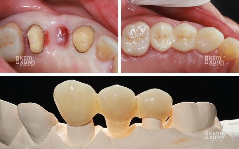
Cầu răng sứ là phương pháp phục hình răng mất bằng cách mài 2 răng kế bên làm trụ, sau đó gắn một dãy răng sứ lên trên để thay thế răng đã mất.
Ưu điểm của cầu răng sứ:
-
Thời gian thực hiện nhanh (chỉ 3 - 4 ngày)
-
Chi phí thấp hơn so với trồng răng Implant
-
Tính thẩm mỹ khá tự nhiên
Hạn chế:
-
Phải mài răng thật bên cạnh, có thể làm yếu răng về lâu dài
-
Không ngăn được tình trạng tiêu xương hàm
-
Tuổi thọ trung bình khoảng 5 - 10 năm
Xem Thêm: Làm Cầu Răng Sứ Có Bị Tiêu Xương Hàm Không?

1.2. Cấy ghép Implant là gì?
Cấy ghép Implant là phương pháp trồng răng hiện đại bằng cách cấy trụ Titanium vào xương hàm, đóng vai trò như chân răng thật, sau đó gắn mão sứ lên trên để phục hồi hoàn chỉnh chiếc răng đã mất.
Ưu điểm của trồng răng Implant:
-
Khôi phục gần như hoàn toàn khả năng ăn nhai
-
Không ảnh hưởng đến răng bên cạnh
-
Ngăn ngừa tiêu xương hàm hiệu quả
-
Độ bền cao, có thể sử dụng 20 năm đến trọn đời nếu chăm sóc tốt
Hạn chế:
-
Chi phí cao hơn so với cầu răng sứ
-
Thời gian thực hiện lâu hơn (thường từ 1 - 3 tháng tùy tình trạng xương hàm)
Xem Thêm: Ưu Nhược Điểm Của Trồng Răng Implant Là Gì?
Xem Thêm: Phương Pháp Trồng Răng Sứ Vĩnh Viễn Giá Bao Nhiêu Tiền?

2. So Sánh Cầu Răng Sứ và Implant: Nên Chọn Phương Pháp Nào?
Cả cầu răng sứ và cấy ghép Implant đều là giải pháp giúp phục hồi răng mất, cải thiện khả năng ăn nhai và thẩm mỹ khuôn mặt. Tuy nhiên, mỗi phương pháp sẽ có ưu điểm và hạn chế riêng, phù hợp với từng tình trạng răng miệng khác nhau.
Điểm khác biệt quan trọng
-
Cầu răng sứ: sử dụng răng kế bên làm trụ, giúp phục hình nhanh nhưng có thể ảnh hưởng đến răng thật và không ngăn được tiêu xương hàm
-
Implant: cấy trụ trực tiếp vào xương hàm, hoạt động như chân răng thật, giúp ăn nhai chắc chắn và bảo tồn xương hàm lâu dài
Theo khuyến nghị của bác sĩ, trong hầu hết các trường hợp mất răng, trồng răng Implant là giải pháp được ưu tiên vì:
-
Khôi phục khả năng ăn nhai lên đến ~99% so với răng thật
-
Không ảnh hưởng đến răng bên cạnh
-
Ngăn ngừa tiêu xương hàm hiệu quả
-
Độ bền cao, có thể sử dụng lâu dài
Trong khi đó, cầu răng sứ thường chỉ phục hồi khoảng 70 - 80% khả năng ăn nhai và có tuổi thọ ngắn hơn.
|
Tiêu Chí |
Cầu Răng Sứ |
Cấy Ghép Implant |
|
Kỹ thuật |
Mài răng thật để làm trụ |
Cấy trụ Titanium vào xương hàm |
|
Khả năng ăn nhai |
Khoảng 70 - 80% răng thật |
Gần như 100% răng thật |
|
Ảnh hưởng răng bên cạnh |
Có (phải mài răng) |
Không ảnh hưởng |
|
Tiêu xương hàm |
Có thể xảy ra |
Ngăn chặn hiệu quả |
|
Tuổi thọ |
5 - 10 năm |
20 năm - trọn đời |
|
Chi phí |
Thấp hơn |
Cao hơn |
Kết luận:
-
Nếu bạn cần giải pháp tiết kiệm, làm nhanh - cầu răng sứ
-
Nếu bạn muốn bền lâu, ăn nhai tốt và bảo vệ xương hàm - Implant là lựa chọn tối ưu
Nhìn chung, trồng răng Implant vượt trội hơn về độ bền, chức năng và khả năng bảo tồn răng thật trong dài hạn.
Xem Thêm: Làm Cầu Răng Sứ Giá Bao Nhiêu Tiền?
Xem Thêm: Giá Trồng Răng Implant Bao Nhiêu?
3. Nên Trồng Răng Sứ Hay Implant?
Không có phương pháp nào là “tốt nhất cho tất cả”, chỉ có giải pháp phù hợp nhất với tình trạng răng miệng, xương hàm và nhu cầu của từng người. Việc lựa chọn giữa cầu răng sứ và trồng răng Implant cần dựa trên nhiều yếu tố như: số lượng răng mất, thời gian mong muốn, ngân sách và mục tiêu sử dụng lâu dài.
2.1. Bạn có thể chọn cầu răng sứ khi:
-
Mất 1 - 2 răng liên tiếp, vùng mất răng chưa bị tiêu xương nhiều
-
Muốn phục hình nhanh (chỉ khoảng 3 - 4 ngày là có răng ăn nhai)
-
Chi phí hạn chế, cần giải pháp tiết kiệm hơn Implant
-
Răng kế bên còn khỏe, đủ điều kiện để mài làm trụ
Phù hợp với: Những người cần giải pháp nhanh, chi phí vừa phải và chưa có nhu cầu phục hình lâu dài.
2.2. Trồng răng Implant phù hợp hơn nếu bạn:
-
Muốn ăn nhai chắc chắn, gần như răng thật (có thể ăn nhai thoải mái)
-
Không muốn mài răng bên cạnh, muốn bảo tồn răng thật tối đa
-
Muốn sử dụng lâu dài, ổn định nhiều năm hoặc trọn đời
-
Quan tâm đến sức khỏe xương hàm và muốn ngăn ngừa tiêu xương
Phù hợp với: Những người mong muốn giải pháp bền vững, lâu dài và ưu tiên chất lượng cuộc sống khi ăn nhai.
Kết luận:
-
Cầu răng sứ phù hợp khi cần nhanh - tiết kiệm - tạm thời
-
Implant - phù hợp khi cần bền vững - chắc chắn - lâu dài
Trong đa số trường hợp, cấy ghép Implant vẫn là lựa chọn tối ưu hơn về lâu dài vì giúp bảo tồn răng thật và ngăn ngừa tiêu xương hàm hiệu quả.
Xem Thêm: Trồng Răng Implant Có Đau Không?
Xem Thêm: Bọc Răng Sứ Giá Bao Nhiêu 1 Chiếc?

4. Câu Hỏi Thường Gặp?
Trồng răng implant có bền không?
-
Implant là phương pháp phục hình răng có độ bền rất cao. Nếu được thực hiện đúng kỹ thuật và chăm sóc tốt, răng Implant có thể sử dụng 20 năm đến trọn đời. Trụ Implant làm từ Titanium tương thích sinh học tốt, ít bị đào thải và chịu lực ăn nhai gần như răng thật.
Cầu răng sứ có nhược điểm gì?
Cầu răng sứ có một số hạn chế như:
-
Cần mài răng thật kế bên để làm trụ
-
Không ngăn được tình trạng tiêu xương hàm sau khi mất răng
-
Tuổi thọ không quá lâu (thường khoảng 5 - 10 năm)
Vì vậy, đây thường là giải pháp phù hợp khi cần làm nhanh và chi phí thấp hơn.
Mất răng lâu năm có trồng Implant được không?
Vẫn có thể trồng Implant, ngay cả khi đã mất răng lâu năm. Tuy nhiên:
-
Cần kiểm tra mức độ tiêu xương hàm
-
Một số trường hợp có thể cần ghép xương trước khi cấy Implant
Tốt nhất, bạn nên được bác sĩ thăm khám và chụp phim để đánh giá chính xác tình trạng trước khi điều trị.
Xem Thêm: Mất Răng Lâu Năn Có Trồng Răng Implant Được Không?
Xem Thêm: Mất Răng Số 6 Có Sao Không?
5. Kết Luận
Cả cầu răng sứ và Implant đều là những giải pháp phục hình răng mất hiệu quả. Tuy nhiên, nếu xét về lâu dài, Implant vẫn là lựa chọn bền vững hơn nhờ khả năng ăn nhai chắc chắn, bảo tồn xương hàm và tuổi thọ cao. Dù vậy, mỗi tình trạng răng sẽ có một hướng điều trị phù hợp riêng. Việc thăm khám trực tiếp sẽ giúp bạn biết chính xác phương pháp nào là tốt nhất cho mình, tránh những lựa chọn chưa thật sự phù hợp về sau.
Nếu bạn đang phân vân, bạn có thể liên hệ Nha khoa Kim Xuân để được tư vấn và thăm khám miễn phí. Bác sĩ sẽ giúp bạn đánh giá cụ thể tình trạng răng miệng và đưa ra giải pháp phù hợp, nhẹ nhàng và an tâm nhất.
Nha Khoa Kim Xuân - Bình Thạnh TP. HCM
Địa Chỉ: 165 Ngô Tất Tố, Phường Thạnh Mỹ Tây, Tp Hồ Chí Minh
Hotline: 0899 922 668 (Viber, Zalo, FaceTime)
ZaLo: https://zalo.me/nhakhoakimxuan
WebSite: https://nhakhoakimxuan.com.vn