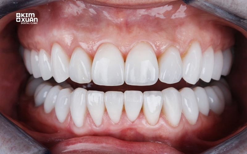
Bọc răng sứ là kỹ thuật phục hình răng sử dụng một mão sứ bao phủ lên răng thật đã được mài chỉnh để khắc phục các khuyết điểm về màu sắc, hình dáng hoặc tổn thương. Phương pháp này giúp răng đều đẹp, trắng sáng và cải thiện chức năng ăn nhai như răng thật, vì vậy ngày càng được nhiều người lựa chọn trong thẩm mỹ nha khoa.
Vậy bọc răng sứ là gì, có thật sự tốt như quảng cáo, giá bọc răng sứ bao nhiêu, và quy trình thực hiện diễn ra thế nào? Bài viết dưới đây sẽ phân tích chi tiết, giúp bạn hiểu rõ ưu - nhược điểm trước khi quyết định có nên bọc răng sứ hay không.

1. Bọc Răng Sứ Là Gì?
Bọc răng sứ (Dental Crown) là kỹ thuật phục hình răng sử dụng mão răng sứ chụp lên phần răng thật đã được mài chỉnh. Mão sứ được thiết kế theo đúng hình dáng - kích thước - màu sắc của răng thật, giúp cải thiện thẩm mỹ và khôi phục chức năng ăn nhai như răng tự nhiên. Phương pháp này thường được chỉ định khi răng bị: sứt mẻ, sâu lớn, mòn men, nhiễm màu nặng, lệch nhẹ hoặc muốn cải thiện thẩm mỹ nụ cười.

2. Cấu Tạo Của Mão Răng Sứ
Một mão răng sứ hoàn chỉnh thường gồm 2 lớp:
2.1. Lớp sườn (khung)
-
Là phần chịu lực chính của mão răng.
-
Có thể làm từ kim loại, hợp kim Titan, hoặc sứ cao cấp (như Zirconia).
-
Ảnh hưởng trực tiếp đến độ bền và tuổi thọ của răng sứ.
2.2. Lớp phủ sứ bên ngoài
-
Tạo độ trong, độ bóng và màu sắc giống răng thật.
-
Giúp mão sứ trông tự nhiên, đảm bảo tính thẩm mỹ cao.
3. Khi Nào Nên Bọc Răng Sứ? Ai Phù Hợp?
Bọc răng sứ được chỉ định khi răng đã bị hư tổn hoặc có khuyết điểm mà các phương pháp khác như tẩy trắng răng, trám răng hay chỉnh nha nhẹ không thể cải thiện hiệu quả. Phương pháp này giúp phục hồi thẩm mỹ và tăng độ bền chắc cho răng thật.
3.1. Bạn nên bọc răng sứ nếu gặp các tình trạng sau:
-
Răng sâu lớn, răng vỡ, gãy mẻ do chấn thương hoặc sâu răng.
-
Răng mòn men, ê buốt kéo dài, khó ăn nhai.
-
Răng nhiễm màu nặng (tetracycline, fluor) hoặc xỉn màu lâu năm không thể tẩy trắng.
-
Răng thưa, lệch nhẹ, không đều, ảnh hưởng thẩm mỹ khi cười.
-
Răng có hình dáng bất thường như quá to, quá nhỏ, méo mó.
-
Răng đã điều trị tủy, cần bảo vệ bằng mão sứ để tránh nứt vỡ.
3.2. Những đối tượng KHÔNG nên bọc răng sứ
-
Trẻ em chưa hoàn thiện răng và xương hàm.
-
Người bị viêm nha chu nặng, tụt lợi hoặc lung lay răng chưa điều trị.
-
Người muốn cải thiện thẩm mỹ nhưng răng hoàn toàn khỏe mạnh - nên ưu tiên dán sứ veneer để bảo tồn mô răng, mài ít hơn nhiều so với bọc sứ.
Xem Thêm: Giá Dán Răng Sứ Veneer Bao Nhiêu? Bảng Giá Chi Tiết
Xem Thêm: Trám Răng Thẩm Mỹ Giá Bao Nhiêu?

4. Bọc Răng Sứ Có Tốt Không? Có Ảnh Hưởng Sức Khỏe Không?
Bọc răng sứ là phương pháp an toàn và mang lại hiệu quả cao nếu được thực hiện tại nha khoa uy tín.
4.1. Ưu điểm khi bọc răng sứ đúng kỹ thuật
-
Thẩm mỹ tự nhiên 95 - 99% giống răng thật.
-
Cải thiện hình dáng - tỷ lệ răng ngay lập tức.
-
Ăn nhai chắc, bền, tuổi thọ 10 - 20 năm tùy loại sứ.
-
Bảo vệ răng thật, giảm nguy cơ sâu răng - mòn men.
-
Không đổi màu, không nhiễm màu thực phẩm như răng thật.
4.2. Rủi ro nếu bọc răng sứ ở nơi kém chất lượng
Nhiều nơi quảng cáo răng sứ giá rẻ vài trăm nghìn có thể khiến bạn gặp các biến chứng:
-
Mài răng quá mức làm chết tủy, đau nhức kéo dài.
-
Răng sứ kém chất lượng gây hôi miệng, viêm nướu, viêm tủy.
-
Sai khớp cắn dẫn đến đau cơ hàm - thái dương.
-
Nhiễm trùng phải nhổ bỏ răng.
Vì vậy, chất lượng nha khoa - vật liệu sứ - tay nghề bác sĩ quyết định hơn 80% kết quả.
Xem Thêm: Bọc Sứ Răng Hàm Bị Sâu Giá Bao Nhiêu?
5. Các Loại Răng Sứ Phổ Biến Hiện Nay
5.1. Răng sứ kim loại
-
Giá rẻ, độ bền ổn.
-
Nhược điểm: dễ đen chân răng, tuổi thọ thấp.
5.2. Răng sứ toàn sứ (zirconia, cercon, emax)
-
Độ trong tự nhiên, KHÔNG đen viền nướu.
-
Bền chắc, thẩm mỹ cao.
-
Phù hợp răng cửa và răng hàm.
-
Dễ tạo hình, đẹp hơn răng thật.
-
Tán sáng tốt, bền gấp 2 - 3 lần sứ thường.
6. Quy Trình Bọc Răng Sứ Chuẩn Y Khoa Tại Nha Khoa Kim Xuân
Quy trình bọc răng sứ tiêu chuẩn theo hướng dẫn của Bộ Y Tế gồm 5 bước, đảm bảo an toàn - chính xác và hạn chế tối đa xâm lấn răng thật.
Bước 1. Thăm khám và chụp X-quang
-
Kiểm tra tổng quát răng - nướu - khớp cắn.
-
Chụp X-quang để đánh giá xương hàm, chân răng, tủy răng.
-
Phát hiện sớm các bệnh lý như sâu răng, viêm tủy, viêm nha chu… để điều trị trước khi bọc sứ.
Bước 2. Lên kế hoạch điều trị
-
Bác sĩ phân tích dáng răng, nụ cười và tỉ lệ gương mặt.
-
Lựa chọn màu sứ, loại mão sứ phù hợp nhu cầu và cấu trúc răng.
-
Tư vấn chi tiết số răng cần bọc và kết quả sau khi hoàn thiện.
Bước 3. Gây tê và mài răng
-
Gây tê tại chỗ để không đau - không khó chịu.
-
Mài răng nhẹ từ 0,5 - 1,5 mm, tùy vị trí và tình trạng răng.
-
Sau khi mài, bác sĩ sẽ gắn răng tạm để bảo vệ răng thật và đảm bảo thẩm mỹ.
Bước 4. Lấy dấu và thiết kế mão sứ CAD/CAM 3D
-
Dùng máy quét 3D trong miệng để lấy dấu chính xác.
-
Công nghệ CAD/CAM giúp chế tác mão sứ với độ khít sát cao, sai số gần như bằng 0.
-
Mão sứ được gia công theo dáng răng tự nhiên của từng người.
Bước 5. Lắp răng sứ và kiểm tra khớp cắn
-
Thử mão sứ, kiểm tra độ vừa vặn và màu sắc.
-
Cố định bằng xi măng nha khoa chuyên dụng.
-
Điều chỉnh khớp cắn để đảm bảo ăn nhai thoải mái, không cộm, không đau.
Xem Thêm: Bọc Răng Sứ Có Cần Lấy Tủy Răng?

7. Bọc Răng Sứ Giá Bao Nhiêu? Bảng Giá Cập Nhập 2026
Giá bọc răng sứ năm 2026 phụ thuộc vào chất liệu mão sứ, công nghệ chế tác, và tình trạng răng của từng khách hàng. Dưới đây là bảng giá chi tiết các loại răng sứ thẩm mỹ phổ biến hiện nay:
Bảng giá răng sứ thẩm mỹ 2026
-
Răng kim loại thường: 1.500.000 VNĐ / 1 đơn vị - Chi phí thấp, phù hợp phục hình răng trong nhưng thẩm mỹ không cao.
-
Răng sứ Titan: 2.000.000 VNĐ / 1 đơn vị - Độ bền tốt, giá phải chăng, màu sắc khá tự nhiên.
-
Răng sứ Zirconia: 3.500.000 - 5.500.000 VNĐ / 1 đơn vị - Màu trắng tự nhiên, độ bền cao, an toàn sinh học.
-
Răng sứ Cercon HT: 6.000.000 VNĐ / 1 đơn vị - Thẩm mỹ cao, độ trong tốt, thích hợp răng cửa.
-
Răng sứ Lava Plus: 8.000.000 - 10.000.000 VNĐ / 1 đơn vị - Dòng cao cấp, bền chắc, thẩm mỹ xuất sắc, tuổi thọ lâu năm.
-
Veneer Emax Press: 6.000.000 VNĐ / 1 đơn vị - Lựa chọn bảo tồn răng tối đa, mài răng rất ít, giữ vẻ tự nhiên cao.
Xem Thêm: Giá Dán Sứ Veneer Giá Bao Nhiêu Tiền Tại TP. HCM
Xem Thêm: Trồng Răng Implant Giá Bao Nhiêu? Bảng Giá Mới Nhất
Giá đã bao gồm:
-
Khám & chụp phim
-
Thiết kế răng CAD/CAM
-
Mài răng & lắp mão sứ
-
Bảo hành theo tiêu chuẩn nhà sản xuất
-
Không phát sinh chi phí
Xem Thêm: Lấy Tủy Bọc Răng Sứ Giá Bao Nhiêu?
8. Bọc Răng Sứ Giữ Được Bao Lâu?
Tuổi thọ răng sứ trung bình từ 10 - 20 năm, tùy vào chất liệu mão sứ và cách chăm sóc răng sau khi phục hình. Một số khách hàng có thể sử dụng răng sứ 15 - 20 năm mà răng vẫn bền đẹp, không đen viền, không bong sứ nếu được chăm sóc đúng cách.
Các yếu tố ảnh hưởng đến tuổi thọ răng sứ
8.1. Loại sứ sử dụng:
-
Răng toàn sứ Zirconia, Cercon, Lava Plus… thường bền hơn răng sứ kim loại, có thể duy trì 15 - 20 năm.
8.2. Cách chăm sóc răng miệng:
-
Chải răng đúng cách, dùng chỉ nha khoa, tái khám định kỳ giúp răng sứ bền lâu hơn.
8.3. Tay nghề bác sĩ:
-
Bác sĩ mài răng chuẩn, lắp mão sứ khít sát sẽ giảm nguy cơ viêm nướu, hở cổ răng.
8.4. Thói quen ăn uống & sinh hoạt:
-
Hạn chế cắn đồ cứng, nghiến răng khi ngủ, hút thuốc… giúp răng sứ giữ màu lâu hơn.
9. Bọc Răng Sứ Có Đau Không?
Quá trình bọc răng sứ hầu như không đau, vì trước khi mài răng bác sĩ sẽ gây tê để bạn cảm thấy thoải mái và dễ chịu.
9.1. Trong quá trình mài răng
-
Không đau, không ê buốt nhờ gây tê cục bộ.
-
Bạn chỉ cảm giác hơi tê hoặc cộm nhẹ khi bác sĩ thao tác.
9.2. Sau khi mài răng
-
Có thể ê nhẹ 1 - 2 ngày, đặc biệt khi ăn uống nóng - lạnh.
-
Đây là phản ứng bình thường và sẽ giảm dần.
9.3. Khi nào bọc răng sứ gây đau kéo dài?
Nếu bạn bị đau nhiều ngày, đau nhức khi nhai hoặc đau âm ỉ kéo dài, có thể do:
-
Mài răng quá nhiều, sai kỹ thuật.
-
Răng bị viêm tủy nhưng chưa được điều trị tủy đúng cách.
-
Mão sứ lắp không khít, gây cộm hoặc kích ứng nướu.
Trong trường hợp này, bạn nên đến nha khoa kiểm tra lại ngay để tránh biến chứng lâu dài.
Xem Thêm Chi Tiết: Bọc Răng Sứ Có Đau Không? Cách Hạn Chế Đau Khi Làm Răng Sứ
10. Ưu Điểm - Nhược Điểm Của Bọc Răng Sứ
10.1. Ưu điểm
-
Thẩm mỹ cao
-
Bền, cứng, ăn nhai tốt
-
Không đổi màu
-
Khắc phục khuyết điểm nhanh chóng
10.2. Nhược điểm
-
Mài răng thật
-
Chi phí cao hơn trám răng, tẩy trắng
-
Cần nha khoa uy tín để tránh biến chứng
Kết Luận
Bọc răng sứ là giải pháp thẩm mỹ phục hình hiện đại giúp cải thiện nụ cười nhanh chóng, khắc phục hiệu quả các khuyết điểm như răng xỉn màu, mẻ, thưa, lệch nhẹ và phục hồi khả năng ăn nhai. Với vật liệu sứ cao cấp và công nghệ chế tác tiên tiến, răng sứ có thể duy trì 10 - 20 năm, mang lại vẻ đẹp tự nhiên và độ bền lâu dài.
Để đạt được kết quả tối ưu và tránh biến chứng, bạn nên lựa chọn nha khoa uy tín, vật liệu chính hãng và bác sĩ giàu kinh nghiệm. Nha khoa Kim Xuân là địa chỉ tin cậy với đội ngũ bác sĩ chuyên môn cao, trang thiết bị hiện đại và quy trình bọc răng sứ chuẩn Bộ Y tế, đảm bảo răng sứ bền đẹp, tự nhiên và an toàn.
Đừng để khuyết điểm răng ảnh hưởng nụ cười của bạn! Hãy liên hệ ngay Nha khoa Kim Xuân để được tư vấn miễn phí, chọn loại răng sứ phù hợp và lên lịch bọc răng sứ chuẩn kỹ thuật, mang lại nụ cười tự tin, rạng rỡ.
Nha Khoa Kim Xuân - Bình Thạnh TP. HCM
Địa Chỉ: 165 Ngô Tất Tố, Phường Thạnh Mỹ Tây, Tp Hồ Chí Minh
Hotline: 0899 922 668 (Viber, Zalo, FaceTime)
ZaLo: https://zalo.me/nhakhoakimxuan
WebSite: https//:nhakhoakimxuan.com.vn