Trám răng thẩm mỹ là giải pháp nha khoa hiện đại giúp phục hồi hình dạng, màu sắc và chức năng của răng bị sâu, sứt, mẻ, vỡ hoặc mòn men, mang lại nụ cười hài hòa và tự nhiên. Phương pháp này sử dụng vật liệu Composite có màu sắc giống răng thật, độ bám cao, thẩm mỹ gần như răng thật, giúp khắc phục khuyết điểm nhanh chóng mà không cần mài răng hay can thiệp xâm lấn.
Trám răng thẩm mỹ không chỉ giúp cải thiện thẩm mỹ mà còn bảo tồn tối đa mô răng thật, ngăn ngừa sâu răng tái phát và duy trì chức năng ăn nhai, trở thành lựa chọn phổ biến nhờ tính nhanh chóng, ít đau và chi phí hợp lý.
Nếu bạn đang băn khoăn trám răng thẩm mỹ là gì, phù hợp trong những trường hợp nào, quy trình thực hiện có đau không, giá bao nhiêu, có bền không và nên trám răng ở đâu để đảm bảo an toàn - bài viết này sẽ giúp bạn hiểu chi tiết.

1. Trám Răng Thẩm Mỹ Là Gì?
Trám răng thẩm mỹ (hay còn gọi là hàn răng thẩm mỹ) là kỹ thuật dùng vật liệu nha khoa có màu giống răng thật, thường là Composite, để phục hồi lại phần răng bị khuyết, sâu hoặc mất thẩm mỹ. Vật liệu được tạo hình trực tiếp trên răng, sau đó chiếu đèn để đông cứng và đánh bóng, tạo nên bề mặt tự nhiên, mịn và hòa hợp với răng thật.
1.1. Ưu điểm nổi bật của trám răng thẩm mỹ
-
Thẩm mỹ cao, gần như không nhận biết được.
-
Thực hiện nhanh (15 - 30 phút/răng).
-
Không xâm lấn nhiều, bảo tồn mô răng thật.
-
Chi phí thấp hơn nhiều so với bọc răng sứ.
-
An toàn cho cơ thể, không gây độc hại.
1.2. Trám răng cửa có khác gì trám răng hàm?
-
Trám răng cửa yêu cầu độ thẩm mỹ cao, màu sắc phải đồng nhất.
-
Trám răng hàm ưu tiên độ cứng, chịu lực.
-
Bác sĩ phải chọn vật liệu khác nhau phù hợp từng vị trí.

2. Khi Nào Cần Trám Răng Thẩm Mỹ?
2.1. Răng cửa bị thưa nhẹ
Trám răng bằng Composite là giải pháp nhanh để đóng khoảng thưa nhỏ ở răng cửa. Phương pháp này:
-
Không mài răng
-
Thời gian làm nhanh
-
Chi phí tiết kiệm hơn so với veneer hoặc niềng răng
Thích hợp cho những trường hợp thưa dưới 2mm.
Xem Thêm: Trám Răng Cửa Bị Mẻ Giá Bao Nhiêu?
2.2. Răng cửa bị sứt mẻ, gãy vỡ
-
Tai nạn, cắn vật cứng hoặc chấn thương thể thao có thể làm răng cửa sứt. Trám thẩm mỹ giúp phục hồi hình dạng gần như nguyên bản, đặc biệt khi vết sứt nhỏ - trung bình.
2.3. Mòn men răng
-
Men răng bị mòn làm răng nhạy cảm, dễ ê buốt và mất thẩm mỹ. Trám phủ Composite giúp bảo vệ ngà răng, giảm ê buốt và cải thiện màu sắc.
2.4. Răng cửa bị sâu
-
Trám răng giúp loại bỏ mô sâu và phục hồi lại cấu trúc răng. Trám thẩm mỹ sẽ che được vết sâu, đảm bảo chức năng ăn nhai và tính thẩm mỹ cao.
Xem Thêm: Trám Răng Sâu Giá Bao Nhiêu Tiền? Bảng Giá Mới Nhất
3. Các Phương Pháp Trám Răng Phổ Biến Hiện Nay
3.1. Trám răng Composite
-
Màu sắc giống răng thật
-
Dễ tạo hình răng cửa
-
Thẩm mỹ cao
-
Chi phí hợp lý
-
Nhược điểm: dễ đổi màu nếu chăm sóc không đúng
3.2. Trám răng bằng vật liệu GIC
-
Giải phóng Fluoride, giúp ngừa sâu răng
-
Bám dính tốt
-
Thường dùng cho trẻ em hoặc răng sâu lớn
-
Thẩm mỹ vừa phải, không đẹp bằng Composite
3.3. Trám răng quý kim (Amalgam)
-
Bền chắc, tuổi thọ cao
-
Giá rẻ
-
Nhược điểm: màu kim loại, không phù hợp trám răng cửa
-
Thường chỉ dùng cho răng hàm
3.4. Trám Inlay - Onlay
-
Làm gián tiếp trong labo
-
Độ bền cao, thẩm mỹ vượt trội
-
Chất liệu: sứ hoặc kim loại quý
-
Phù hợp răng bị tổn thương lớn, khó tạo hình trực tiếp

4. Quy Trình Trám Răng Thẩm Mỹ Tại Nha Khoa Kim Xuân
Khám và đánh giá tình trạng răng
-
Bác sĩ kiểm tra mức độ sứt mẻ, sâu răng, thưa răng hoặc mòn men để xác định phương pháp trám phù hợp, đảm bảo hiệu quả thẩm mỹ và chức năng.
Vệ sinh răng miệng trước khi trám
-
Làm sạch mảng bám, vi khuẩn và các tạp chất trên bề mặt răng, tạo điều kiện tốt nhất cho vật liệu trám bám chắc và bền lâu.
Gây tê (nếu cần)
-
Với răng cửa hoặc những răng ít nhạy cảm, có thể thực hiện trám mà không cần gây tê. Nếu răng sâu hoặc nhạy cảm, bác sĩ sẽ gây tê nhẹ để quá trình trám diễn ra thoải mái, không đau.
Tiến hành trám răng
-
Làm sạch mô răng bị tổn thương: Loại bỏ sâu răng, mảng bám hoặc phần men bị sứt.
-
Tạo hình vật liệu Composite: Bác sĩ đắp từng lớp vật liệu trám theo cấu trúc răng thật.
-
Chiếu đèn đông cứng: Cố định từng lớp Composite, đảm bảo độ bền và thẩm mỹ.
Đánh bóng và hoàn thiện
-
Bề mặt răng được đánh bóng, tạo độ sáng tự nhiên và hạn chế bám màu thức ăn, giúp răng trám vừa đẹp vừa lâu bền.
5. Răng Trám Bị Bể Có Trám Lại Được Không?
Câu trả lời là có. Nếu phần trám Composite bị bong, mẻ hoặc vỡ, bạn hoàn toàn có thể trám lại để phục hồi hình dáng và chức năng răng. Tuy nhiên, trước khi trám lại, bác sĩ sẽ kiểm tra nguyên nhân gây hư hỏng, bao gồm:
-
Cắn đồ cứng: Các thực phẩm quá cứng hoặc thói quen cắn vật cứng dễ làm trám bong hoặc nứt.
-
Khớp cắn lệch: Lực nhai không đều khiến vật liệu trám chịu áp lực quá mức.
-
Trám sai kỹ thuật: Nếu kỹ thuật trám không đúng hoặc xử lý bề mặt răng chưa tốt, trám dễ bong.
-
Chất liệu kém chất lượng: Composite kém hoặc không phù hợp cũng giảm độ bền.
Lưu ý: Nếu răng bị gãy quá lớn hoặc mô răng thật tổn thương nghiêm trọng, bác sĩ có thể chỉ định bọc răng sứ hoặc dán sứ veneer để đảm bảo thẩm mỹ và chức năng lâu dài.
6. Trám Răng Thẩm Mỹ Giá Bao Nhiêu 2026? Tại Nha Khoa Kim Xuân
Chi phí trám răng thẩm mỹ tại nha khoa Kim Xuân:
-
Trám GIC - Răng sữa: 200.000 VNĐ/đơn vị.
-
Trám Composite - Răng sữa: 300.000 VNĐ/đơn vị.
-
Trám Composite xoang I - VI (răng vĩnh viễn): 400.000 VNĐ/đơn vị.
-
Trám Composite xoang II - III - V (răng vĩnh viễn): 500.000 VNĐ/đơn vị.
-
Trám Composite xoang IV - V (răng vĩnh viễn): 600.000 VNĐ/đơn vị.
-
Trám Răng Inlay - OnLay: 6.000.000 VNĐ/đơn vị.
Xem Thêm: Dán Sứ Veneer Bao Nhiêu Tiền? Bảng Giá Mới Nhất 2026
Xem Thêm: Giá Bọc Răng Sứ Bao Nhiêu? Bảng Giá Chi Tiết

7. Trám Răng Thẩm Mỹ Có Bền Không?
7.1. Phụ thuộc vào vật liệu trám
-
Composite: Có độ bền từ 2 - 5 năm, tùy thuộc vào cách chăm sóc và mức độ sử dụng.
-
GIC (Glass Ionomer Cement): Độ bền từ 1 - 3 năm, thích hợp cho răng sữa hoặc các khu vực ít chịu lực nhai.
-
Inlay - Onlay: Đây là vật liệu cao cấp, có thể duy trì từ 10 - 15 năm, giúp phục hồi răng vĩnh viễn lâu dài và bền chắc.
7.2. Tay nghề bác sĩ
Để trám răng bền lâu, tay nghề bác sĩ đóng vai trò quan trọng:
-
Tạo hình đúng cấu trúc răng, đảm bảo tính thẩm mỹ và chức năng.
-
Canh chỉnh khớp cắn chính xác để tránh tình trạng cắn lệch làm hư trám.
-
Đảm bảo độ bám dính vật liệu tốt, giúp tăng độ bền và tránh bong tróc.
7.3. Chăm sóc răng miệng
Việc chăm sóc răng miệng sau khi trám cũng ảnh hưởng đến độ bền của trám:
-
Tránh cắn đồ quá cứng hoặc sử dụng răng để cắt, mở đồ vật.
-
Hạn chế ăn uống các thực phẩm có màu đậm như cà phê, trà, nước ngọt để tránh làm ố trám.
-
Nếu cảm thấy ê buốt, hãy sử dụng kem đánh răng chống ê buốt để bảo vệ răng.
Xem Thêm: Trám Răng Cửa Bị Mẻ Giá Bao Nhiêu?
8. Những Lưu Ý Sau Khi Trám Răng Thẩm Mỹ
8.1. Thời gian đông cứng của vật liệu trám
-
Vật liệu Composite sẽ đông cứng ngay sau khi chiếu đèn. Tuy nhiên, bạn nên tránh ăn nhai mạnh trong 2 - 3 giờ đầu để đảm bảo miếng trám ổn định và không bị ảnh hưởng.
8.2. Hạn chế thức ăn quá nóng hoặc lạnh
-
Trong vài ngày đầu sau khi trám, hãy ưu tiên thức ăn mềm và tránh thức ăn quá nóng hoặc lạnh để không gây kích ứng hoặc ảnh hưởng đến vật liệu trám.
8.3. Tránh thực phẩm dai, cứng hoặc có độ dính
-
Để bảo vệ miếng trám, không nên cắn xương, nhai kẹo dẻo, đá lạnh hoặc các thực phẩm quá cứng có thể làm hư trám hoặc gây bong tróc.
8.4. Vệ sinh răng miệng đúng cách
Để giữ miếng trám lâu bền, bạn cần:
-
Đánh răng 2 lần/ngày bằng kem đánh răng không có chất mài mòn cao.
-
Dùng chỉ nha khoa để làm sạch kẽ răng và khu vực quanh miếng trám.
-
Súc miệng sát khuẩn định kỳ để bảo vệ răng và hạn chế vi khuẩn phát triển.
8.5. Kiểm tra định kỳ tại nha khoa
-
Hãy đến nha khoa 6 tháng/lần để kiểm tra độ bám và chất lượng của miếng trám, đảm bảo rằng không có sự cố xảy ra và răng miệng luôn khỏe mạnh.
9. Tại Sao nên Trám Răng Thẩm Mỹ Tại Nha Khoa Kim Xuân?
Vật liệu Composite cao cấp, màu sắc tự nhiên:
-
Nha Khoa Kim Xuân sử dụng vật liệu Composite thế hệ mới có màu sắc giống răng thật, giúp phục hồi hoàn hảo vẻ đẹp tự nhiên của nụ cười, bền lâu và an toàn cho sức khỏe răng miệng.
Bác sĩ nhiều kinh nghiệm trong phục hình thẩm mỹ răng cửa:
-
Đội ngũ bác sĩ tại Nha Khoa Kim Xuân có nhiều năm kinh nghiệm trong lĩnh vực trám răng thẩm mỹ, đặc biệt là răng cửa - khu vực quan trọng nhất trong giao tiếp.
-
Bạn sẽ được điều trị bởi các chuyên gia, đảm bảo kết quả tối ưu về cả thẩm mỹ và chức năng.
Quy trình vô trùng chuẩn nha khoa:
-
Nha Khoa Kim Xuân tuân thủ quy trình vô trùng nghiêm ngặt, đảm bảo sự an toàn tuyệt đối cho khách hàng trong suốt quá trình điều trị.
Giá minh bạch - không phát sinh:
-
Tất cả dịch vụ tại Nha Khoa Kim Xuân đều có giá công khai, minh bạch, không phát sinh chi phí ngoài dự kiến, giúp bạn yên tâm về chi phí điều trị.
Chế độ bảo hành rõ ràng cho từng loại trám:
-
Nha Khoa Kim Xuân cung cấp chế độ bảo hành dài hạn, rõ ràng cho từng loại trám, giúp bạn an tâm về chất lượng và độ bền của miếng trám.
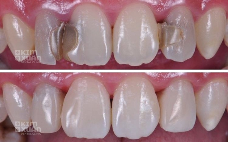
Hỗ trợ chụp ảnh trước - sau để bệnh nhân thấy rõ sự thay đổi:
-
Chúng tôi cung cấp dịch vụ chụp ảnh trước và sau khi trám răng, giúp bạn dễ dàng nhận thấy sự thay đổi rõ rệt và hài lòng với kết quả cuối cùng.
Câu Hỏi Thường Gặp (FAQ)
1. Trám răng có đau không?
-
Hầu hết khách hàng đều không cảm thấy đau khi trám răng, vì lớp trám chỉ nằm trên bề mặt men răng và không ảnh hưởng đến các mô răng sâu.
2. Trám răng xong có ăn được ngay không?
-
Sau khi trám, bạn có thể ăn ngay nhưng nên chờ khoảng 1 - 2 giờ để vật liệu trám hoàn toàn ổn định. Tránh cắn trực tiếp bằng răng trám trong thời gian này để đảm bảo miếng trám không bị ảnh hưởng.
3. Trám răng giữ được bao lâu?
-
Miếng trám Composite thường giữ được từ 2 - 5 năm, tuy nhiên, nếu bạn chăm sóc răng miệng tốt, có thể duy trì độ bền lâu hơn.
4. Trám răng có bị đổi màu không?
-
Trám răng có thể ngả màu nhẹ theo thời gian, đặc biệt nếu bạn uống cà phê, trà hoặc có thói quen hút thuốc. Để giữ màu sắc tự nhiên, hạn chế các thực phẩm và đồ uống có màu sắc đậm.
5. Trám răng có ảnh hưởng đến tủy không?
-
Trám răng không ảnh hưởng đến tủy, vì phương pháp này chỉ phục hồi phần bề mặt răng. Chỉ những lỗ sâu sát tủy mới cần phải điều trị tủy để bảo vệ sức khỏe răng miệng.
Kết Luận
Trám răng thẩm mỹ là giải pháp lý tưởng cho những trường hợp răng cửa thưa, mẻ hoặc sâu nhẹ. Với phương pháp này, bạn sẽ có một nụ cười tự nhiên, đẹp mắt, phục hồi nhanh chóng mà không cần can thiệp xâm lấn nhiều. Ngoài ra, chi phí hợp lý và tính thẩm mỹ cao là lý do nhiều khách hàng lựa chọn trám răng thẩm mỹ.
Nếu bạn đang tìm kiếm giải pháp hoàn hảo để cải thiện nụ cười của mình, hãy đến ngay Nha Khoa Kim Xuân. Chúng tôi sẽ thăm khám và tư vấn phương pháp trám răng phù hợp nhất, giúp bạn có được kết quả ưng ý và an toàn. Đặt lịch hẹn ngay hôm nay để nhận được sự chăm sóc tốt nhất từ đội ngũ bác sĩ chuyên nghiệp của chúng tôi!
Nha Khoa Kim Xuân - Bình Thạnh TP. HCM
Địa Chỉ: 165 Ngô Tất Tố, Phường Thạnh Mỹ Tây, Tp Hồ Chí Minh
Hotline: 0899 922 668 (Viber, Zalo, FaceTime)
ZaLo OA: https://zalo.me/nhakhoakimxuan
WebSite: https://nhakhoakimxuan.com.vn