Trồng Implant Răng Cửa - Giải Pháp Phục Hình Thẩm Mỹ - Bền Vững Lâu Dài
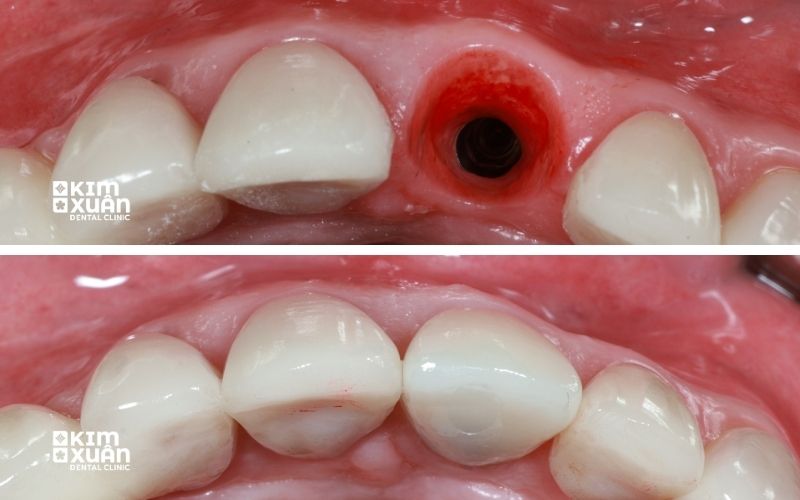
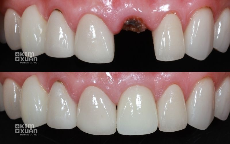
Implant răng cửa là phương pháp cấy ghép trụ titanium vào xương hàm để thay thế chân răng đã mất, sau đó phục hình mão sứ bên trên nhằm tái tạo hình dáng và chức năng như răng thật. Đây được xem là giải pháp phục hồi răng cửa tối ưu, giúp ăn nhai ổn định, đảm bảo thẩm mỹ tự nhiên, không ảnh hưởng đến răng kế cận và hạn chế tình trạng tiêu xương hàm. Chi phí trồng implant răng cửa thường dao động từ 15 - 30 triệu đồng/răng, tùy vào loại trụ và tình trạng xương, với tỷ lệ thành công có thể đạt đến 98% khi thực hiện đúng kỹ thuật.

1. Trồng Implant Răng Cửa Là Gì?
Trồng implant răng cửa là phương pháp cấy ghép một trụ titanium vào xương hàm nhằm thay thế chân răng đã mất. Sau thời gian tích hợp xương (khoảng 2 - 6 tháng), bác sĩ sẽ gắn khớp nối abutment và mão răng sứ lên trên, tái tạo một chiếc răng hoàn chỉnh với đầy đủ chức năng và thẩm mỹ như răng thật.
Một răng implant tiêu chuẩn bao gồm 3 phần:
-
Trụ implant: Đóng vai trò như chân răng, được đặt cố định trong xương hàm
-
Abutment: Khớp nối trung gian giữa trụ implant và mão sứ
-
Mão sứ: Phần thân răng bên trên, có hình dáng và màu sắc tương tự răng tự nhiên
Đây hiện là phương pháp phục hồi răng cửa tối ưu, giúp khôi phục cả cấu trúc chân răng lẫn thân răng, đồng thời đảm bảo khả năng ăn nhai, thẩm mỹ và hạn chế tiêu xương hàm lâu dài.
Xem Thêm: Bọc Sứ 2 Răng Cửa Giá Bao Nhiêu?

2. Có Nên Trồng Implant Cho Răng Cửa Không?
Câu trả lời là nên, đặc biệt trong trường hợp mất răng ở vùng răng cửa - khu vực ảnh hưởng trực tiếp đến thẩm mỹ và giao tiếp.
Nếu không phục hình sớm, tình trạng mất răng cửa có thể dẫn đến:
-
Tiêu xương hàm: Làm vùng môi bị hõm, gương mặt trông già hơn
-
Xô lệch răng kế cận: Các răng bên cạnh có xu hướng nghiêng, lệch khỏi vị trí ban đầu
-
Ảnh hưởng phát âm và thẩm mỹ: Gây mất tự tin khi giao tiếp
Trồng implant răng cửa là giải pháp được đánh giá cao nhờ:
-
Khôi phục thẩm mỹ tự nhiên: Hình dáng và màu sắc gần giống răng thật
-
Ngăn ngừa tiêu xương hàm: Nhờ trụ implant thay thế chân răng
-
Bảo tồn răng kế cận: Không cần mài răng như phương pháp cầu răng sứ
Với những ưu điểm trên, implant được xem là lựa chọn tối ưu để phục hồi răng cửa lâu dài cả về chức năng lẫn thẩm mỹ.
Xem Thêm: Mất Răng Bao Lâu Thì Tiêu Xương Hàm?
Xem Thêm: Mất Răng Hàm Có Bị Hóp Má Không?

3. Ưu Điểm Nổi Bật Của Implant Răng Cửa
Trồng implant răng cửa được đánh giá là giải pháp phục hồi răng hiện đại, mang lại nhiều lợi ích cả về chức năng lẫn thẩm mỹ:
-
Thẩm mỹ tự nhiên: Mão sứ được thiết kế hài hòa với màu sắc, hình dáng và đường viền nướu, giúp nụ cười tự nhiên như răng thật
-
Ăn nhai chắc chắn: Trụ implant tích hợp với xương hàm, giúp chịu lực tốt và ổn định khi ăn nhai
-
Độ bền lâu dài: Có thể sử dụng trên 20 năm, thậm chí trọn đời nếu chăm sóc và tái khám đúng cách
-
Bảo tồn răng kế cận: Không cần mài răng bên cạnh như phương pháp cầu răng sứ
-
Ngăn ngừa tiêu xương hàm: Trụ implant đóng vai trò như chân răng, giúp duy trì mật độ xương và cấu trúc khuôn mặt
Nhờ những ưu điểm này, implant răng cửa ngày càng được ưu tiên lựa chọn trong các trường hợp mất răng vùng thẩm mỹ.
4. Quy Trình Trồng Implant Răng Cửa
Để đảm bảo an toàn và hiệu quả lâu dài, quy trình trồng implant răng cửa được thực hiện theo các bước chuẩn y khoa:
4.1. Thăm khám và lập kế hoạch điều trị
-
Bác sĩ kiểm tra tổng quát tình trạng răng miệng, đánh giá các vấn đề như viêm nướu, sâu răng hoặc tiêu xương, từ đó xây dựng kế hoạch điều trị phù hợp.
4.2. Chụp phim CT Cone Beam
-
Hình ảnh 3D giúp đánh giá chính xác mật độ và thể tích xương hàm, hỗ trợ bác sĩ xác định vị trí đặt trụ implant an toàn và tối ưu.
4.3. Cấy trụ implant
-
Trụ titanium được đặt vào xương hàm trong khoảng 15 - 30 phút/trụ.
Với vùng răng cửa, bác sĩ có thể gắn răng tạm ngay sau cấy ghép để đảm bảo thẩm mỹ trong thời gian chờ lành thương.
4.4. Giai đoạn tích hợp xương
-
Kéo dài khoảng 2 - 6 tháng, trụ implant sẽ liên kết chặt chẽ với xương hàm, tạo nền tảng vững chắc như chân răng thật.
4.5. Gắn mão sứ hoàn tất
-
Sau khi trụ ổn định, bác sĩ gắn abutment và mão sứ lên trên, hoàn thiện chiếc răng mới với chức năng và thẩm mỹ gần như răng tự nhiên.
Xem Thêm: Quy Trình Trồng Răng Implant Tại Nha Khoa Kim Xuân

5. Trồng Implant Răng Cửa Giá Bao Nhiêu?
Chi phí trồng implant răng cửa có thể thay đổi tùy theo từng trường hợp cụ thể, phụ thuộc vào nhiều yếu tố như:
-
Loại trụ implant: (Hàn Quốc, Mỹ, Thụy Sĩ…) với công nghệ và độ bền khác nhau
-
Tình trạng xương hàm: Mật độ và thể tích xương ảnh hưởng trực tiếp đến khả năng cấy ghép
-
Các thủ thuật hỗ trợ: Như ghép xương, nâng xoang hoặc điều trị nha chu trước khi cấy implant
Mức giá tham khảo:
-
Implant Hiossen (Mỹ): 15.000.000 VNĐ / 1 trụ
-
Implant Dentium (Mỹ): 15.000.000 VNĐ / 1 trụ
-
Implant MIS C1 (Đức): 20.000.000 VNĐ / 1 trụ
-
Implant Tekka (Pháp): 23.000.000 VNĐ / 1 trụ
-
Implant Straumann (Thụy Sĩ): 30.000.000 VNĐ / 1 trụ
Trong trường hợp cần ghép xương hoặc nâng xoang, chi phí có thể tăng thêm khoảng 5 - 10 triệu đồng, tùy theo mức độ tiêu xương và chỉ định của bác sĩ.
Xem Thêm: Bảng Giá Trồng Răng Implant Tại Nha Khoa Kim Xuân
Xem Thêm: Ghép Xương Trong Implant Là Gì?
6. Trồng Implant Răng Cửa Có Bền Không?
Trồng implant răng cửa được đánh giá là phương pháp phục hồi răng có độ bền cao và ổn định lâu dài. Độ bền của implant đến từ:
-
Trụ titanium tương thích sinh học tốt: Không gây kích ứng và có khả năng tồn tại lâu dài trong môi trường xương hàm
-
Khả năng tích hợp xương (osseointegration): Trụ implant liên kết trực tiếp với xương hàm, tạo độ vững chắc tương tự chân răng thật
Tuổi thọ của răng implant:
-
Có thể duy trì trên 20 năm
-
Thậm chí trọn đời nếu chăm sóc đúng cách và tái khám định kỳ
Tuy nhiên, độ bền còn phụ thuộc vào nhiều yếu tố như tay nghề bác sĩ, chất lượng trụ implant, tình trạng xương hàm và thói quen chăm sóc răng miệng sau điều trị.
Xem Thêm: Ưu Nhược Điểm Khi Trồng Răng Implant
7. Cách Giữ Implant Răng Cửa Luôn bền Chắc
Để duy trì độ bền và tuổi thọ lâu dài cho implant răng cửa, cần chú ý đến các yếu tố sau:
-
Lựa chọn nha khoa uy tín: Bác sĩ có kinh nghiệm và quy trình chuẩn giúp implant tích hợp xương tốt ngay từ đầu
-
Sử dụng trụ implant chính hãng: Đảm bảo độ an toàn, khả năng tích hợp và độ bền lâu dài
-
Vệ sinh răng miệng đúng cách: Chải răng đều đặn, sử dụng chỉ nha khoa và nước súc miệng để hạn chế vi khuẩn tích tụ quanh implant
-
Hạn chế thực phẩm quá cứng hoặc dai: Tránh tạo lực quá mức lên mão sứ và trụ implant
-
Tái khám định kỳ 6 tháng/lần: Giúp kiểm tra tình trạng implant và xử lý sớm các vấn đề nếu có
Việc chăm sóc đúng cách không chỉ giúp implant bền chắc mà còn duy trì thẩm mỹ và chức năng ăn nhai ổn định trong thời gian dài.
Xem Thêm: Cách Chăm Sóc Răng Sau Khi Cấy Ghép Implant
8. Địa Chỉ Trồng Implant Răng Cửa Uy Tín, An Toàn
Nha khoa Kim Xuân là địa chỉ được nhiều khách hàng tin tưởng lựa chọn khi trồng implant răng cửa nhờ đáp ứng đầy đủ các tiêu chí về chuyên môn, công nghệ và tiêu chuẩn điều trị an toàn.
8.1. Đội ngũ bác sĩ chuyên sâu Implant
Các bác sĩ có nhiều năm kinh nghiệm trong lĩnh vực cấy ghép implant, được đào tạo bài bản và thường xuyên cập nhật các kỹ thuật hiện đại. Nhờ đó, quá trình điều trị đảm bảo độ chính xác cao, mang lại kết quả thẩm mỹ tự nhiên và ổn định lâu dài.
8.2. Hệ thống máy móc - công nghệ hiện đại
Nha khoa Kim Xuân trang bị đầy đủ các thiết bị hỗ trợ chuyên sâu như:
-
Chụp phim CT Cone Beam 3D
-
Công nghệ scan dấu răng kỹ thuật số
-
Hệ thống phẫu thuật implant hiện đại
Giúp bác sĩ đánh giá chính xác cấu trúc xương hàm, lập kế hoạch điều trị tối ưu và rút ngắn thời gian lành thương.
8.3. Sử dụng trụ implant chính hãng
Tất cả trụ implant đều được nhập khẩu chính hãng từ các thương hiệu uy tín trên thế giới, có nguồn gốc rõ ràng và chế độ bảo hành minh bạch. Điều này giúp đảm bảo khả năng tích hợp xương tốt và độ bền lâu dài.
8.4. Quy trình vô trùng nghiêm ngặt
Phòng điều trị và dụng cụ được kiểm soát vô trùng theo tiêu chuẩn của Bộ Y tế, hạn chế tối đa nguy cơ nhiễm trùng và lây nhiễm chéo trong quá trình điều trị.
8.5. Chi phí minh bạch - rõ ràng
Mọi chi phí trồng implant được tư vấn cụ thể ngay từ đầu, giúp khách hàng chủ động kế hoạch điều trị và yên tâm trong suốt quá trình thực hiện.
Xem thêm: Địa Chỉ Trồng Răng Implant Uy Tín Tại TP. HCM

9. Câu Hỏi Thường Gặp?
9.1. Trồng implant răng cửa có đau không?
-
Quá trình cấy ghép implant được thực hiện dưới gây tê nên hầu như không gây đau. Sau khi hết thuốc tê, có thể cảm thấy ê nhẹ trong 1 - 2 ngày và sẽ giảm dần.
9.2. Trồng implant răng cửa mất bao lâu?
-
Thời gian hoàn tất thường kéo dài từ 2 - 6 tháng, tùy vào khả năng tích hợp xương và tình trạng răng miệng của từng người.
9.3. Có phải để trống răng trong thời gian chờ không?
-
Không. Bác sĩ thường sẽ gắn răng tạm ngay sau khi cấy ghép để đảm bảo thẩm mỹ và giúp bạn tự tin trong giao tiếp.
10. Kết Luận
Trồng implant răng cửa là giải pháp phục hình hiện đại, giúp khôi phục toàn diện thẩm mỹ - chức năng ăn nhai - độ bền lâu dài. Tuy nhiên, để đạt được kết quả tối ưu, việc lựa chọn nha khoa uy tín với đội ngũ bác sĩ chuyên sâu và hệ thống trang thiết bị hiện đại là yếu tố rất quan trọng.
Nếu bạn đang quan tâm đến trồng implant răng cửa, có thể đến Nha khoa Kim Xuân để được thăm khám, chụp phim và tư vấn kế hoạch điều trị phù hợp với tình trạng xương hàm và nhu cầu thẩm mỹ của mình.
Liên hệ Nha khoa Kim Xuân ngay hôm nay để được thăm khám miễn phí, tư vấn chi tiết và nhận lộ trình trồng implant phù hợp cho riêng bạn.
Nha Khoa Kim Xuân - Bình Thạnh TP. HCM
Địa Chỉ: 165 Ngô Tất Tố, Phường Thạnh Mỹ Tây, Tp Hồ Chí Minh
Hotline: 0899 922 668 (Viber, Zalo, FaceTime)
ZaLo: https://zalo.me/nhakhoakimxuan
WebSite: https://nhakhoakimxuan.com.vn