Trồng Răng Implant Có Nguy Hiểm Không? Rủi Ro Và Mức Độ An Toàn
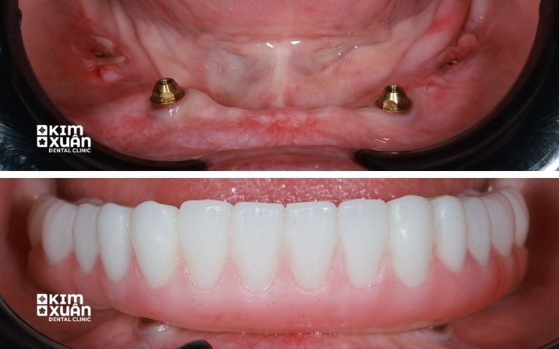
Trồng răng Implant có nguy hiểm không? Trồng răng Implant là phương pháp thay thế răng mất bằng trụ titanium cấy vào xương hàm, có tỷ lệ thành công 95 - 98% và được đánh giá là an toàn nếu thực hiện đúng kỹ thuật. Implant đã được ứng dụng hơn 50 năm trong nha khoa hiện đại và được xem là phương pháp phục hồi răng mất an toàn và bền vững nhất hiện nay.
Tuy nhiên, giống như bất kỳ can thiệp y khoa nào, Implant vẫn tiềm ẩn rủi ro nếu thực hiện sai quy trình, lựa chọn cơ sở kém chuyên môn hoặc chăm sóc hậu phẫu không đúng cách.
Bài viết này sẽ phân tích rõ:
-
Implant có thực sự nguy hiểm không?
-
Những biến chứng có thể gặp
-
Khi nào rủi ro tăng cao
-
Cách giảm thiểu tối đa nguy cơ thất bại

1. Trồng Răng Implant Có An Toàn Không?
Trồng răng Implant có an toàn không? Câu trả lời là: Có, nếu được thực hiện đúng chỉ định và đúng quy trình y khoa. Cấy ghép Implant là kỹ thuật đặt một trụ titanium tinh khiết vào xương hàm để thay thế chân răng đã mất. Titanium có tính tương thích sinh học cao, được ứng dụng rộng rãi trong y học như phẫu thuật chỉnh hình và cấy ghép xương.
Khi bệnh nhân được:
-
Chụp CT Cone Beam đánh giá mật độ xương
-
Lập kế hoạch cấy ghép chính xác
-
Thực hiện trong môi trường vô trùng
-
Theo dõi hậu phẫu đúng quy trình
Implant được đánh giá là phương pháp phục hồi răng mất an toàn và ổn định lâu dài. Phần lớn biến chứng nếu có thường xuất phát từ tay nghề bác sĩ, chẩn đoán sai hoặc quy trình không đảm bảo, chứ không phải từ bản thân trụ Implant.

2. 6 Biến Chứng Có Thể Gặp Khi Trồng Răng Implant
Mặc dù tỷ lệ thành công cao (95 - 98%), trồng răng Implant vẫn có thể xảy ra biến chứng nếu chẩn đoán hoặc thực hiện không đúng quy trình.
2.1. Nhiễm trùng quanh Implant
Đây là biến chứng phổ biến nhất khi vệ sinh kém hoặc đặt trụ sai kỹ thuật.
Biểu hiện:
-
Sưng đỏ nướu
-
Đau khi nhai
-
Chảy dịch hoặc mủ
Nếu phát hiện sớm, có thể điều trị bảo tồn mà không cần tháo trụ.
2.2. Sưng đau kéo dài bất thường
Sau cấy ghép, sưng nhẹ trong 2 - 3 ngày là phản ứng bình thường.
Nếu đau kéo dài trên 7 ngày hoặc tăng dần, có thể do:
-
Chấn thương mô mềm
-
Nhiễm trùng tiềm ẩn
-
Phản ứng viêm quá mức
2.3. Tổn thương dây thần kinh
Thường xảy ra khi cấy Implant vùng răng hàm dưới nhưng không đánh giá chính xác vị trí ống thần kinh.
Dấu hiệu:
-
Tê môi
-
Tê cằm
-
Mất cảm giác kéo dài
Biến chứng này hiếm gặp nếu có chụp CT Cone Beam 3D trước điều trị.
2.4. Tiêu xương quanh trụ Implant
Có thể xảy ra khi:
-
Implant đặt sai hướng lực
-
Vệ sinh răng miệng kém
-
Tải lực nhai quá sớm
Nếu không kiểm soát kịp thời có thể dẫn đến lung lay trụ.
2.5. Thất bại tích hợp xương
Tỷ lệ khoảng 2 - 5%.
Nguyên nhân thường gặp:
-
Hút thuốc lá
-
Bệnh tiểu đường không kiểm soát
-
Chất lượng xương yếu
-
Sử dụng trụ Implant không rõ nguồn gốc
2.6. Biến chứng hiếm gặp
-
Viêm xoang hàm (khi cấy vùng răng sau hàm trên)
-
Gãy trụ do quá tải lực
-
Dị ứng vật liệu (rất hiếm)
Tỷ lệ xảy ra rất thấp khi điều trị đúng tiêu chuẩn chuyên môn.
Kết luận: Phần lớn biến chứng trồng răng Implant không xuất phát từ bản thân trụ Implant, mà liên quan đến tay nghề bác sĩ, chẩn đoán và quy trình điều trị.
Xem Thêm: Trồng Răng Implant Có Hút Thuốc Được Không?
3. Khi Nào Trồng Răng Implant Trở Trên Nguy Hiểm?
Trồng răng Implant chỉ trở nên nguy hiểm khi không đảm bảo đúng quy trình chuyên môn và kiểm soát toàn thân trước điều trị.
Nguy cơ biến chứng tăng cao khi:
-
Không thăm khám tổng quát và đánh giá mật độ xương trước cấy ghép
-
Bệnh nền không được kiểm soát (tiểu đường, tim mạch, loãng xương…)
-
Hút thuốc lá nhiều làm giảm khả năng tích hợp xương
-
Thực hiện tại cơ sở thiếu trang thiết bị chẩn đoán 3D
-
Không tuân thủ hướng dẫn chăm sóc sau phẫu thuật
Nói cách khác, mức độ nguy hiểm của trồng răng Implant phụ thuộc chủ yếu vào tay nghề bác sĩ, quy trình điều trị và sự hợp tác của bệnh nhân, chứ không phải bản thân trụ Implant.
4. Có Nên Trồng Răng Implant Không?
Có nên trồng răng Implant không? Câu trả lời là: Có, nếu bạn đủ điều kiện sức khỏe và được chỉ định đúng chuyên môn.
Lợi ích nổi bật của trồng răng Implant:
-
Phục hồi chức năng ăn nhai gần như răng thật
-
Ngăn ngừa tiêu xương hàm sau mất răng
-
Cải thiện thẩm mỹ, giữ khuôn mặt cân đối
-
Tuổi thọ lâu dài nếu chăm sóc tốt
-
Tăng sự tự tin khi giao tiếp
Nhược điểm cần cân nhắc:
-
Chi phí cao hơn so với cầu răng hoặc hàm giả
-
Thời gian điều trị kéo dài vài tháng
-
Cần can thiệp phẫu thuật
Tuy nhiên, khi được thực hiện đúng quy trình và đủ điều kiện sức khỏe, trồng răng Implant vẫn là giải pháp phục hồi răng mất tối ưu và bền vững nhất hiện nay.
Xem Thêm: Ưu Nhược Điểm Khi Trồng Răng Implant?
Xem Thêm: Giá Trồng Răng Implant Bao Nhiêu Tiền?

5. Làm Sao Để Giảm Thiểu Rủi Ro Khi Trồng Răng Implant?
Để giảm thiểu rủi ro khi trồng răng Implant, cần đảm bảo đúng bác sĩ - đúng chẩn đoán - đúng vật liệu - đúng quy trình.
5.1. Chọn bác sĩ được đào tạo chuyên sâu về Implant
-
Đây là yếu tố quyết định tỷ lệ thành công. Bác sĩ có kinh nghiệm sẽ đánh giá chính xác chỉ định, kiểm soát hướng đặt trụ và xử lý biến chứng kịp thời.
5.2. Cơ sở có hệ thống chẩn đoán 3D (CT Cone Beam)
-
Chụp CT Cone Beam giúp xác định mật độ xương, vị trí dây thần kinh và xoang hàm, từ đó lập kế hoạch cấy ghép chính xác.
5.3. Sử dụng trụ Implant chính hãng, rõ nguồn gốc
-
Vật liệu đạt chuẩn giúp tăng khả năng tích hợp xương và đảm bảo độ bền lâu dài.
5.4. Tuân thủ quy trình vô trùng nghiêm ngặt
-
Phòng phẫu thuật, dụng cụ và quy trình kiểm soát nhiễm khuẩn đạt chuẩn giúp giảm nguy cơ nhiễm trùng sau cấy ghép.
Xem Thêm: Quy Trình Cấy Ghép Implant Chuẩn Y Khoa Tại Nha Khoa Kim Xuân
Xem Thêm: Trồng Răng Implant Có Đau Không? Bao Lâu Hồi Phục?
6. Cách Chăm Sóc Sau Khi Cấy Ghép Implant Để Tránh Biến Chứng
Chăm sóc đúng cách sau khi trồng răng Implant đóng vai trò quan trọng trong quá trình tích hợp xương và giảm nguy cơ nhiễm trùng.
6.1. Không hút thuốc trong 2 - 4 tuần đầu
-
Nicotine làm giảm lưu lượng máu nuôi mô, cản trở quá trình lành thương và tăng nguy cơ thất bại tích hợp xương.
6.2. Uống thuốc theo đúng chỉ định
-
Sử dụng kháng sinh, kháng viêm và giảm đau đúng liều, không tự ý ngưng thuốc khi chưa có hướng dẫn của bác sĩ.
6.3. Vệ sinh nhẹ nhàng vùng cấy ghép
-
Dùng bàn chải lông mềm, tránh tác động mạnh vào khu vực mới đặt trụ trong những ngày đầu.
6.4. Tái khám đúng lịch hẹn
-
Giúp bác sĩ theo dõi tiến trình lành thương và phát hiện sớm dấu hiệu bất thường.
6.5. Tránh ăn cứng và nhai mạnh tại vùng mới đặt trụ
-
Hạn chế lực tác động sớm lên Implant trong giai đoạn tích hợp xương.
Lưu ý quan trọng: Phần lớn biến chứng sau cấy ghép Implant có thể phòng tránh nếu bệnh nhân tuân thủ đúng hướng dẫn hậu phẫu và tái khám đầy đủ.
Xem Thêm: Cách Chăm Sóc Sau Khi Cấy Ghép Implant?
7. Câu Hỏi Thường Gặp?
7.1. Cấy ghép Implant có nguy hiểm không?
Không nguy hiểm nếu thực hiện đúng kỹ thuật, đúng chỉ định và đảm bảo vô trùng. Tỷ lệ thành công hiện nay đạt khoảng 95 - 98%. Phần lớn rủi ro chỉ xảy ra khi chẩn đoán hoặc quy trình thực hiện không đạt chuẩn.
7.2. Implant có ảnh hưởng sức khỏe lâu dài không?
Không ảnh hưởng đến sức khỏe toàn thân nếu trụ Implant tích hợp xương thành công và được chăm sóc đúng cách. Titanium là vật liệu có tính tương thích sinh học cao và được sử dụng rộng rãi trong y học.
7.3. Hậu quả khi cắm Implant sai kỹ thuật là gì?
Có thể gây nhiễm trùng quanh trụ, tiêu xương, đau kéo dài hoặc tổn thương dây thần kinh. Tuy nhiên, những biến chứng này hiếm gặp nếu có chụp CT 3D và lập kế hoạch chính xác trước phẫu thuật.
7.4. Trồng răng Implant có đau không?
Trong quá trình cấy ghép, bệnh nhân được gây tê nên hầu như không đau. Sau phẫu thuật có thể khó chịu nhẹ trong vài ngày đầu và được kiểm soát hiệu quả bằng thuốc.
Kết Luận
Trồng răng Implant không phải là thủ thuật nguy hiểm khi được thực hiện đúng kỹ thuật và tuân thủ quy trình chuyên môn. Rủi ro khi trồng răng Implant chủ yếu xuất phát từ việc lựa chọn cơ sở không đảm bảo chuyên môn hoặc không tuân thủ quy trình điều trị chuẩn y khoa - chứ không phải từ bản thân trụ Implant.
Điều quan trọng không chỉ là câu hỏi “Implant có nguy hiểm không?”, mà là:
-
Bạn đã được thăm khám và đánh giá đầy đủ trước điều trị chưa?
-
Bác sĩ thực hiện có chuyên môn sâu về cấy ghép Implant không?
-
Cơ sở có đảm bảo vô trùng và trang bị công nghệ chẩn đoán hiện đại không?
Khi những yếu tố này được đảm bảo, trồng răng Implant là một trong những phương pháp phục hồi răng an toàn, hiệu quả và bền vững nhất hiện nay.
Tư vấn trồng răng Implant tại Nha khoa Kim Xuân
Tại Nha khoa Kim Xuân, quy trình cấy ghép Implant được thực hiện theo hướng kiểm soát chặt chẽ từng bước:
-
Thăm khám và chụp CT Cone Beam 3D đánh giá mật độ xương
-
Lập kế hoạch điều trị cá nhân hóa
-
Sử dụng trụ Implant chính hãng, rõ nguồn gốc
-
Tuân thủ quy trình vô trùng nghiêm ngặt
Nếu bạn đang tìm hiểu trồng răng Implant và muốn được đánh giá chính xác tình trạng của mình, hãy liên hệ Nha khoa Kim Xuân để được tư vấn chi tiết trước khi quyết định điều trị.
Nha Khoa Kim Xuân - Bình Thạnh TP. HCM
Địa Chỉ: 165 Ngô Tất Tố, Phường Thạnh Mỹ Tây, Tp Hồ Chí Minh
Hotline: 0899 922 668 (Viber, Zalo, FaceTime)
ZaLo: https://zalo.me/nhakhoakimxuan
WebSite: https://nhakhoakimxuan.com.vn