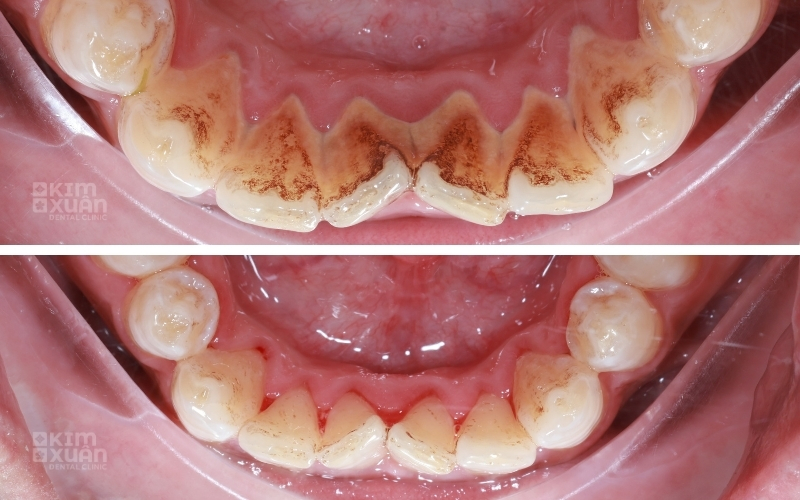
Cạo vôi răng là thủ thuật nha khoa giúp loại bỏ mảng bám và cao răng tích tụ trên bề mặt răng và dưới nướu - nơi chứa nhiều vi khuẩn có thể gây viêm nướu, viêm nha chu, hôi miệng hoặc làm răng lung lay nếu không được làm sạch. Thủ thuật được thực hiện bằng dụng cụ chuyên dụng hoặc máy siêu âm, giúp răng sạch hơn và nướu khỏe mạnh hơn.
Mặc dù đơn giản, cạo vôi răng lại rất quan trọng vì bàn chải không thể loại bỏ được lớp cao răng đã cứng lại. Nếu tích tụ lâu ngày, cao răng tạo môi trường cho vi khuẩn phát triển, dẫn đến viêm nhiễm và nhiều vấn đề răng miệng khác. Trong bài viết này, bạn sẽ hiểu rõ cạo vôi răng là gì, quy trình thực hiện, tần suất nên lấy vôi 3 - 6 tháng/lần, chi phí và cách phòng ngừa cao răng tái bám hiệu quả.

1. Cạo Vôi Răng Là Gì?
Cạo vôi răng (lấy cao răng) là thủ thuật nha khoa sử dụng thiết bị siêu âm chuyên dụng để loại bỏ lớp vôi cứng và mảng bám đã khoáng hóa bám chặt trên bề mặt răng cũng như dưới đường viền nướu. Những mảng vôi này không thể được làm sạch bằng bàn chải hay chỉ nha khoa vì đã trở nên cứng chắc theo thời gian.
Mục đích của việc lấy cao răng là làm sạch khoang miệng, ngăn ngừa viêm nướu - viêm nha chu, giảm hôi miệng và hạn chế nguy cơ tiêu xương dẫn đến mất răng. Đây là bước quan trọng giúp duy trì môi trường miệng khỏe mạnh và ổn định lâu dài.
Phân biệt:
-
Mảng bám mềm: dễ làm sạch bằng chải răng và chỉ nha khoa.
-
Vôi răng: cứng và bám sâu, chỉ có thể loại bỏ bằng máy siêu âm hoặc dụng cụ nha khoa chuyên dụng.

2. Dấu Hiệu Nhận Biết Cần Lấy Cao Răng Ngay
Cao răng tích tụ lâu ngày sẽ gây ra nhiều biến chứng ở nướu và răng. Bạn nên đi lấy vôi răng sớm nếu xuất hiện các dấu hiệu sau:
-
Nướu dễ chảy máu khi chải răng hoặc dùng chỉ nha khoa.
-
Hơi thở có mùi dù đã vệ sinh răng miệng kỹ.
-
Nướu sưng, đỏ hoặc đau, đặc biệt khi ăn nhai.
-
Mảng vôi màu vàng hoặc nâu bám quanh viền nướu.
-
Răng lung lay nhẹ hoặc cảm giác không chắc như trước.
-
Tụt nướu, lộ cổ răng, khiến răng trông dài hơn.
Những biểu hiện này thường là dấu hiệu sớm của viêm nướu hoặc viêm nha chu, bắt nguồn từ việc vôi răng không được làm sạch đúng thời điểm. Cạo vôi răng định kỳ giúp ngăn ngừa các biến chứng nặng hơn và giữ nướu luôn khỏe mạnh.
3. Quy Trình Cạo Vôi Răng Chuẩn Y Khoa
Quy trình cạo vôi răng bằng máy siêu âm thường diễn ra nhanh chóng, chỉ khoảng 15 - 20 phút, và gồm các bước cơ bản sau:
3.1. Khám và đánh giá tình trạng răng nướu
-
Bác sĩ kiểm tra mức độ vôi răng, tình trạng nướu, độ sâu túi nha chu và mức viêm hiện tại. Từ đó đưa ra kế hoạch làm sạch phù hợp cho từng trường hợp.
3.2. Cạo vôi bằng đầu máy siêu âm
-
Đầu siêu âm rung ở tần số cao, tạo sóng âm giúp phá vỡ lớp cao răng cứng mà không làm tổn thương men răng. Trong quá trình này, tia nước sẽ rửa trôi mảnh vụn vôi và làm sạch vùng dưới nướu.
3.3. Đánh bóng bề mặt răng
-
Sau khi loại bỏ hoàn toàn cao răng, bác sĩ tiến hành đánh bóng để làm mịn bề mặt răng. Điều này giúp hạn chế mảng bám bám lại và duy trì cảm giác sạch sẽ lâu hơn.
3.4. Hướng dẫn chăm sóc sau cạo vôi
Người bệnh được hướng dẫn vệ sinh răng miệng đúng cách như:
-
Dùng bàn chải lông mềm
-
Sử dụng chỉ nha khoa hoặc tăm nước mỗi ngày
-
Súc miệng kháng khuẩn khi cần
Những thói quen này giúp ngăn cao răng tái bám và giữ nướu khỏe mạnh.
4. Tại Sao Phải Lấy Vôi Răng Định Kỳ?
Lấy vôi răng định kỳ là một trong những bước quan trọng nhất để duy trì sức khỏe răng miệng. Cao răng tích tụ lâu ngày là nguyên nhân chính dẫn đến viêm nướu, viêm nha chu và nhiều vấn đề nghiêm trọng khác. Dưới đây là những lý do bạn không nên bỏ qua việc lấy cao răng đều đặn:
4.1. Ngăn ngừa viêm nướu và viêm nha chu
-
Cao răng là nơi trú ngụ của hàng triệu vi khuẩn gây viêm. Nếu không được loại bỏ, chúng sẽ tấn công mô nướu, làm nướu sưng đỏ, chảy máu và tiến triển thành viêm nha chu – bệnh lý có thể dẫn đến tiêu xương và mất răng.
4.2. Giảm hôi miệng hiệu quả
-
Vi khuẩn kỵ khí trong mảng bám cứng tạo ra hợp chất gây mùi khó chịu. Lấy vôi răng giúp loại bỏ nguồn gốc của mùi, cho hơi thở thơm tho và dễ chịu hơn.
4.3. Hạn chế tiêu xương và nguy cơ rụng răng
-
Khi vi khuẩn tích tụ quá lâu, chúng phá hủy mô nha chu và xương ổ răng. Đây là nguyên nhân khiến răng lung lay và dễ rụng sớm. Lấy vôi răng định kỳ là cách bảo vệ xương răng hiệu quả nhất.
4.4. Giúp răng sạch sáng hơn
-
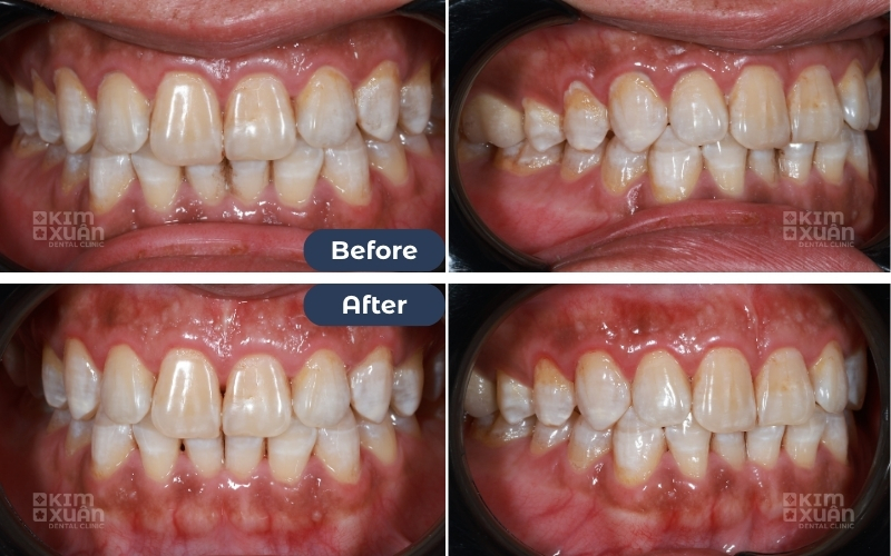
Sau khi cạo vôi, bề mặt răng được đánh bóng, loại bỏ các mảng ố vàng và lớp bẩn bám lâu ngày. Điều này giúp răng trông sáng và sạch hơn mà không cần tẩy trắng.
4.5. Tăng hiệu quả điều trị niềng răng, implant và veneer
-
Cao răng nhiều có thể làm nướu viêm, ảnh hưởng trực tiếp đến quá trình niềng răng, độ bám của implant và hiệu quả phục hình veneer. Làm sạch định kỳ giúp quá trình điều trị ổn định và cho kết quả thẩm mỹ tốt hơn.
5. Bao Lâu Cạo Vôi Răng Một Lần
Tần suất cạo vôi răng phụ thuộc vào tình trạng răng miệng của từng người, nhưng nhìn chung bạn nên thực hiện theo các mốc sau:
5.1. Người bình thường:
-
Nên lấy cao răng 3 - 6 tháng/lần để giữ nướu khỏe mạnh và ngăn mảng bám tích tụ.
5.2. Người hút thuốc, vệ sinh răng miệng chưa tốt hoặc đang viêm nướu:
-
Cần cạo vôi 2 - 3 tháng/lần vì nhóm này có tốc độ tích tụ mảng bám nhanh hơn.
5.3. Người đang niềng răng:
-
Nên làm sạch định kỳ mỗi 2 tháng do mắc cài và dây cung dễ giữ thức ăn, làm vôi răng hình thành nhiều.
5.4. Trẻ em:
-
Trẻ có thể cần lấy cao răng sớm nếu bề mặt răng bám bẩn nhiều hoặc vệ sinh khó kiểm soát.
-
Khám răng định kỳ không chỉ giúp loại bỏ cao răng mà còn hỗ trợ phát hiện sớm sâu răng, viêm nướu và các bất thường khác, từ đó điều trị kịp thời và hiệu quả hơn.
Xem Thêm: Lấy Tủy Răng (Chữa Tủy) Giá bao Nhiêu?
6. Cạo Vôi Răng Có Đau Không? Có Làm Mòn Răng Men Răng Không?
Cạo vôi răng bằng máy siêu âm hầu như không gây đau và không làm mòn men răng, vì đầu máy chỉ tác động vào lớp vôi cứng chứ không ảnh hưởng đến cấu trúc răng thật. Sóng siêu âm giúp phá vỡ mảng vôi nhanh chóng nên quá trình làm sạch diễn ra nhẹ nhàng và an toàn.
Đối với người có răng nhạy cảm, có thể xuất hiện cảm giác ê buốt nhẹ trong lúc làm hoặc vài giờ sau đó, nhưng đây là phản ứng bình thường và sẽ hết ngay trong ngày. Khi sử dụng công nghệ hiện đại, tia nước đi kèm đầu siêu âm giúp làm mát, giảm ma sát và hạn chế tối đa khó chịu.
Nhờ vậy, cạo vôi răng bằng siêu âm được xem là phương pháp nhanh - an toàn - không xâm lấn, phù hợp cho mọi độ tuổi và nên thực hiện định kỳ để giữ nướu luôn khỏe mạnh.
7. Cạo Vôi Răng Giá Bao Nhiêu Tiền?
Chi phí cạo vôi răng phụ thuộc vào mức độ vôi răng và phương pháp làm sạch mà bác sĩ chỉ định. Theo bảng giá:
Cạo vôi - đánh bóng bằng máy rung siêu âm: 300.000đ / 2 hàm
-
Phù hợp với trường hợp vôi răng mức độ nhẹ đến trung bình. Đây là kỹ thuật phổ biến giúp loại bỏ vôi và đánh bóng bề mặt răng.
Cạo vôi dưới nướu (Deep Clean): 800.000đ / 2 hàm
-
Áp dụng cho người có viêm nướu - viêm nha chu, vôi nằm sâu dưới nướu hoặc túi nha chu. Phương pháp này làm sạch toàn diện, ngăn bệnh tiến triển nặng hơn.
Lưu ý thêm: Trong trường hợp có viêm nha chu nặng, bác sĩ có thể yêu cầu thêm các bước điều trị chuyên sâu như bào láng chân răng, xử lý túi nha chu hoặc điều trị duy trì, và chi phí sẽ được tư vấn rõ trước khi thực hiện.
Xem Thêm: Lấy Cao Răng Giá Bao Nhiêu Tại TP. HCM

8. Cạo Vôi Răng Có Giúp Trắng Răng Không?
Cạo vôi răng không phải là tẩy trắng răng, nhưng sau khi lấy vôi bạn sẽ thấy răng sáng hơn và sạch hơn. Lý do là quá trình này giúp loại bỏ lớp mảng bám vàng nâu, cao răng cứng và các vết ố tích tụ lâu ngày trên bề mặt răng.
Tuy nhiên, cạo vôi chỉ trả lại màu men răng tự nhiên chứ không làm răng trắng bật tông. Nếu bạn muốn răng trắng sáng rõ rệt hơn, cần thực hiện thêm các phương pháp tẩy trắng răng chuyên sâu tại nha khoa như tẩy trắng bằng laser, đèn Zoom hoặc máng tẩy tại nhà theo hướng dẫn của bác sĩ.
Xem Thêm: Cạo Vôi Răng, Tẩy Trắng Răng Giá Bao Nhiêu Tiền? Bảng Giá Chi Tiết
9. Cách Ngăn Ngừa Vôi Răng Tái Bám
Để hạn chế cao răng hình thành trở lại sau khi cạo vôi, bạn nên duy trì thói quen chăm sóc răng miệng đúng cách mỗi ngày:
-
Đánh răng 2 lần/ngày bằng bàn chải lông mềm và chải đúng kỹ thuật, đặc biệt ở vùng viền nướu - nơi dễ tích tụ mảng bám.
-
Sử dụng chỉ nha khoa hoặc tăm nước mỗi tối để làm sạch kẽ răng – vị trí bàn chải không thể chạm tới.
-
Hạn chế đồ ngọt, nước có gas và thuốc lá, vì chúng làm tăng tốc độ hình thành mảng bám và gây ố vàng răng.
-
Khám răng định kỳ 3 - 6 tháng/lần để lấy cao răng kịp thời và kiểm tra các dấu hiệu viêm nướu hoặc nha chu.
Việc duy trì các thói quen này không chỉ giúp răng sạch hơn mà còn bảo vệ nướu khỏe mạnh và giảm nguy cơ phải điều trị nha chu phức tạp sau này.

Kết Luận
Cạo vôi răng là một thủ thuật đơn giản nhưng có ý nghĩa rất lớn đối với sức khỏe răng miệng. Việc làm sạch cao răng định kỳ không chỉ giúp ngăn ngừa viêm nướu - viêm nha chu mà còn giảm hôi miệng, hạn chế tiêu xương và giúp răng chắc khỏe lâu dài. Duy trì thói quen chăm sóc răng miệng đúng cách kết hợp với cạo vôi răng theo lịch 3–6 tháng/lần sẽ giúp bạn bảo vệ nụ cười toàn diện.
Nếu bạn đang gặp tình trạng viêm nướu, hơi thở có mùi hoặc thấy vôi răng tích tụ nhiều, hãy đến Nha khoa Kim Xuân để được kiểm tra và cạo vôi bằng máy siêu âm an toàn - nhẹ nhàng - nhanh chóng.
Tại đây, bạn sẽ được thăm khám bởi đội ngũ bác sĩ giàu kinh nghiệm, quy trình hiện đại và chi phí minh bạch. Liên hệ Nha khoa Kim Xuân ngay hôm nay để đặt lịch thăm khám và chăm sóc răng miệng định kỳ!
Nha Khoa Kim Xuân - Bình Thạnh TP. HCM
Địa Chỉ: 165 Ngô Tất Tố, Phường Thạnh Mỹ Tây, Tp Hồ Chí Minh
Hotline: 0899 922 668 (Viber, Zalo, FaceTime)
ZaLo OA: https://zalo.me/nhakhoakimxuan
WebSite: https://nhakhoakimxuan.com.vn
