Viêm nướu răng (hay còn gọi là viêm lợi) là tình trạng nướu xung quanh chân răng bị viêm do mảng bám vi khuẩn tích tụ, gây sưng đỏ và dễ chảy máu, đặc biệt khi đánh răng. Đây là bệnh lý răng miệng rất phổ biến, không nguy hiểm nếu được phát hiện và điều trị sớm, nhưng nếu chủ quan, viêm nướu có thể tiến triển thành viêm nha chu, dẫn đến tụt nướu, lung lay răng và mất răng.

1. Viêm Nướu Răng Là Gì?
Viêm nướu răng (hay viêm lợi) là tình trạng viêm nhẹ của mô nướu do mảng bám vi khuẩn tích tụ quanh chân răng, gây sưng, đỏ và dễ chảy máu. Ở giai đoạn này, bệnh chưa ảnh hưởng đến xương ổ răng và có thể điều trị khỏi hoàn toàn nếu phát hiện sớm.
Tuy nhiên, nếu răng miệng không được chăm sóc đúng cách, viêm nướu có thể tiến triển thành viêm nha chu - tình trạng viêm lan sâu đến mô nâng đỡ răng và xương hàm, làm tăng nguy cơ lung lay và mất răng.

2. Nguyên Nhân Gây Viêm Nướu Răng
2.1. Vệ sinh răng miệng kém
-
Mảng bám vi khuẩn tích tụ quanh chân răng nếu không được làm sạch sau 2 - 3 ngày sẽ vôi hóa thành cao răng, gây kích thích và viêm nướu.
2.2. Cao răng tích tụ lâu ngày
-
Cao răng là môi trường thuận lợi cho vi khuẩn phát triển, khiến nướu sưng đỏ, chảy máu và viêm kéo dài, làm tăng nguy cơ viêm nha chu.
2.3. Hút thuốc lá, sử dụng rượu bia
-
Thuốc lá và rượu bia làm giảm lưu thông máu đến nướu, khiến nướu dễ viêm và khó hồi phục.
2.4. Thay đổi nội tiết tố
-
Phụ nữ mang thai, sau sinh hoặc dậy thì dễ bị viêm nướu do nướu nhạy cảm hơn với mảng bám vi khuẩn.
2.5. Bệnh lý toàn thân và tác dụng phụ của thuốc
-
Tiểu đường, ung thư, HIV hoặc một số thuốc có thể gây khô miệng, tạo điều kiện cho vi khuẩn phát triển và gây viêm nướu.

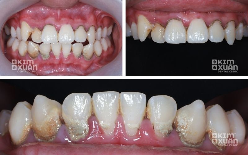
3. Dấu Hiệu Nhận Biết Viêm Nướu Răng (Viêm Lợi)
Viêm nướu răng thường không gây đau rõ rệt, nên rất dễ bị bỏ qua. Người bệnh nên cảnh giác nếu xuất hiện các dấu hiệu sau:
-
Nướu sưng, mềm, đỏ sẫm hoặc đỏ tím, sưng hơn bình thường
-
Chảy máu chân răng khi đánh răng hoặc dùng chỉ nha khoa
-
Hơi thở có mùi hôi kéo dài do vi khuẩn phát triển
-
Cảm giác khó chịu, ê nhẹ, ngứa hoặc rát ở nướu
-
Nướu nhạy cảm hơn bình thường khi chạm vào hoặc khi ăn nhai
Nếu không được điều trị sớm, viêm nướu có thể tiến triển thành viêm nha chu, lan xuống mô nâng đỡ và xương ổ răng, khiến răng lung lay và mất răng.
Xem Thêm: Mất Răng Lâu Năm Có Trồng Răng Implant Có Được Không?
4. Viêm Nướu Răng Có Nguy Hiểm Không?
Ở giai đoạn đầu: Viêm nướu không nguy hiểm và có thể hồi phục hoàn toàn nếu được phát hiện và điều trị sớm.
Nếu để lâu không điều trị, viêm nướu có thể:
-
Tiến triển thành viêm nha chu
-
Làm răng lung lay, tăng nguy cơ rụng răng sớm
-
Ảnh hưởng đến sức khỏe toàn thân như tim mạch, tiểu đường
Vì vậy, phát hiện sớm và điều trị đúng cách là yếu tố quan trọng nhất giúp ngăn ngừa biến chứng và bảo vệ răng lâu dài.
Xem Thêm: Còn Chân Răng Có Bị Tiêu Xương Hàm Không?

5. Đối Tượng Dễ Bị Viêm Nướu Răng (Viêm Lợi)
Những đối tượng sau có nguy cơ cao mắc viêm nướu răng và cần chú ý chăm sóc răng miệng kỹ hơn:
-
Người vệ sinh răng miệng kém, không đánh răng đúng cách hoặc không dùng chỉ nha khoa
-
Người hút thuốc lá, sử dụng nhiều rượu bia
-
Người lớn tuổi, nướu dễ nhạy cảm và sức đề kháng giảm
-
Người mắc bệnh mạn tính như tiểu đường, suy giảm miễn dịch
-
Phụ nữ mang thai hoặc sau sinh, do thay đổi nội tiết tố
-
Người có chế độ dinh dưỡng thiếu hụt, đặc biệt thiếu vitamin C, canxi
6. Cách Điều Trị Viêm Nướu Răng Hiệu Quả
Điều trị viêm nướu răng tập trung vào loại bỏ nguyên nhân gây viêm và ngăn bệnh tiến triển thành viêm nha chu.
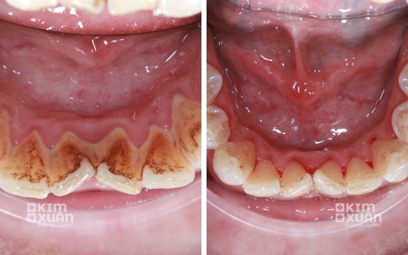
6.1. Cạo vôi răng - làm sạch chuyên sâu
-
Bác sĩ sẽ tiến hành lấy sạch mảng bám và cao răng bám quanh chân răng và dưới viền nướu. Đây là bước quan trọng giúp giảm viêm, hạn chế vi khuẩn và tạo điều kiện để nướu phục hồi khỏe mạnh.
6.2. Hướng dẫn vệ sinh răng miệng đúng cách
Người bệnh cần duy trì thói quen chăm sóc răng miệng khoa học:
-
Đánh răng 2 lần/ngày bằng bàn chải lông mềm
-
Dùng chỉ nha khoa hoặc tăm nước thay cho tăm tre
-
Súc miệng kháng khuẩn theo chỉ định của nha sĩ
6.3. Theo dõi và tái khám định kỳ
Tái khám định kỳ giúp:
-
Kiểm soát tình trạng viêm nướu
-
Ngăn ngừa tái phát
-
Phát hiện sớm các vấn đề nha chu nếu có
Xem Thêm: Lấy Cao Răng Giá Bao Nhiêu Tiền Tại TP. HCM Và Bình Thạnh
7. Cách Phòng Ngừa Viêm Nướu Răng (Viêm Lợi)
Để hạn chế nguy cơ viêm nướu răng và ngăn bệnh tái phát, bạn nên duy trì các thói quen sau:
Đánh răng đúng kỹ thuật, đủ thời gian
-
Đánh răng ít nhất 2 lần/ngày, mỗi lần khoảng 2 phút, sử dụng bàn chải lông mềm để tránh làm tổn thương nướu.
Dùng chỉ nha khoa hằng ngày
-
Chỉ nha khoa giúp làm sạch mảng bám ở kẽ răng - nơi bàn chải khó tiếp cận, giảm nguy cơ viêm nướu hiệu quả.
Không hút thuốc lá
-
Thuốc lá làm giảm lưu thông máu đến nướu, khiến nướu dễ viêm và khó hồi phục.
Ăn uống đủ dưỡng chất
-
Bổ sung đầy đủ vitamin và khoáng chất, đặc biệt là vitamin C, canxi, giúp tăng sức đề kháng cho nướu.
Khám răng định kỳ 6 tháng/lần
-
Việc kiểm tra và lấy cao răng định kỳ giúp phát hiện sớm viêm nướu và phòng ngừa biến chứng nha chu.
Xem Thêm: Lấy Tủy Răng Giá Bao Nhiêu Tiền Tại TP. HCM

8. Khi Nào Nên Đến Nha Khoa?
Bạn nên đến nha khoa sớm để được thăm khám và điều trị nếu gặp một trong các dấu hiệu sau:
-
Nướu chảy máu kéo dài, sưng đỏ và không thuyên giảm dù đã vệ sinh răng miệng kỹ
-
Hơi thở có mùi hôi kéo dài dù đã đánh răng và dùng chỉ nha khoa đều đặn
-
Có dấu hiệu tụt nướu, ê buốt hoặc đau nhức bất thường khi ăn nhai
Việc thăm khám sớm giúp ngăn ngừa viêm nướu tiến triển thành viêm nha chu, tránh các biến chứng nghiêm trọng và tiết kiệm chi phí điều trị về sau.
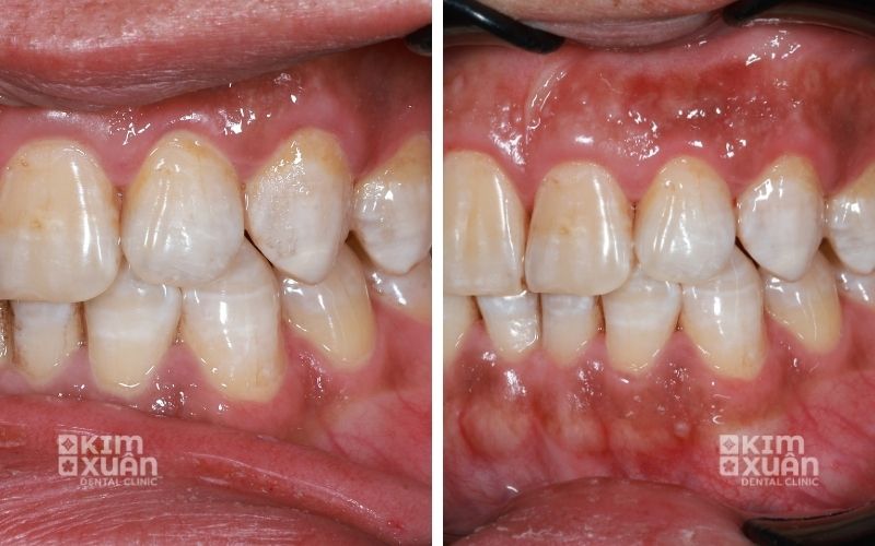
9. Điều Trị Viêm Nướu Răng Tại Nha Khoa Kim Xuân
Tại Nha khoa Kim Xuân, khách hàng được chăm sóc và điều trị viêm nướu theo quy trình bài bản, an toàn:
-
Thăm khám kỹ lưỡng, đánh giá chính xác tình trạng nướu và răng
-
Cạo vôi răng, vệ sinh răng miệng đúng chuẩn y khoa, nhẹ nhàng – hạn chế ê buốt
-
Hướng dẫn chăm sóc răng miệng tại nhà chi tiết, phù hợp từng tình trạng
-
Theo dõi và tư vấn phòng ngừa tái phát, giúp bảo vệ nướu và răng lâu dài
Nếu bạn đang gặp tình trạng chảy máu nướu, sưng đỏ nướu, hôi miệng kéo dài hoặc nghi ngờ viêm nướu răng, hãy liên hệ Nha khoa Kim Xuân để được thăm khám và tư vấn kịp thời, giúp ngăn ngừa biến chứng và bảo vệ sức khỏe răng miệng.
Kết Luận
Viêm nướu răng là bệnh lý răng miệng phổ biến nhưng hoàn toàn có thể điều trị dứt điểm nếu được phát hiện sớm và chăm sóc đúng cách. Các dấu hiệu như chảy máu chân răng, nướu sưng đỏ, hôi miệng kéo dài không nên xem nhẹ, bởi nếu chủ quan, viêm nướu có thể tiến triển thành viêm nha chu, gây tụt nướu, tiêu xương và mất răng.
Việc vệ sinh răng miệng khoa học, cạo vôi răng định kỳ và thăm khám nha khoa thường xuyên đóng vai trò quan trọng trong điều trị cũng như phòng ngừa viêm nướu răng tái phát. Chủ động kiểm tra sớm sẽ giúp bảo vệ sức khỏe nướu, duy trì răng chắc khỏe lâu dài và tiết kiệm chi phí điều trị về sau.
Khám và điều trị viêm nướu răng tại Nha khoa Kim Xuân
Nếu bạn đang gặp tình trạng chảy máu nướu, sưng đỏ nướu, hôi miệng kéo dài hoặc nghi ngờ viêm nướu răng, hãy liên hệ Nha khoa Kim Xuân để được thăm khám và tư vấn kịp thời. Việc điều trị sớm giúp ngăn ngừa biến chứng, bảo tồn nướu và răng, đồng thời bảo vệ sức khỏe răng miệng lâu dài.
Nha Khoa Kim Xuân - Bình Thạnh TP. HCM
Địa Chỉ: 165 Ngô Tất Tố, Phường Thạnh Mỹ Tây, Tp Hồ Chí Minh
Hotline: 0899 922 668 (Viber, Zalo, FaceTime)
ZaLo: https://zalo.me/nhakhoakimxuan
WebSite: https://nhakhoakimxuan.com.vn