Viêm nha chu (Periodontitis) là một bệnh lý nhiễm trùng nướu răng mạn tính, xảy ra khi mảng bám và cao răng tích tụ lâu ngày gây viêm, làm tổn thương mô nâng đỡ răng. Nếu không điều trị kịp thời, bệnh nha chu có thể dẫn đến tụt nướu, tiêu xương ổ răng, răng lung lay và mất răng vĩnh viễn. Đây là một trong những bệnh răng miệng phổ biến nhất ở người trưởng thành, nhưng phần lớn có thể phòng ngừa bằng vệ sinh răng miệng đúng cách và khám nha khoa định kỳ.
Việc hiểu rõ dấu hiệu viêm nha chu, nguyên nhân gây viêm nướu - viêm quanh răng, cùng các phương pháp điều trị nha chu hiện nay sẽ giúp bạn bảo vệ sức khoẻ răng miệng tốt hơn và tránh được những biến chứng nguy hiểm về sau.

1. Viêm Nha Chu là Gì?
Viêm nha chu là bệnh nhiễm trùng nướu răng gây tổn thương các mô nâng đỡ răng bao gồm nướu, dây chằng nha chu và xương ổ răng. Khi mảng bám và vi khuẩn tích tụ lâu ngày không được làm sạch, cơ thể sẽ phản ứng bằng cách viêm sưng, làm nướu đỏ, chảy máu và tạo túi nha chu sâu. Khi bệnh tiến triển, xương nâng đỡ răng bị phá hủy khiến răng lung lay, đau khi nhai và cuối cùng có thể rụng răng.
Đây là bệnh lý liên quan trực tiếp đến vệ sinh răng miệng kém, nhưng hoàn toàn có thể phòng ngừa nếu chăm sóc đúng phương pháp.

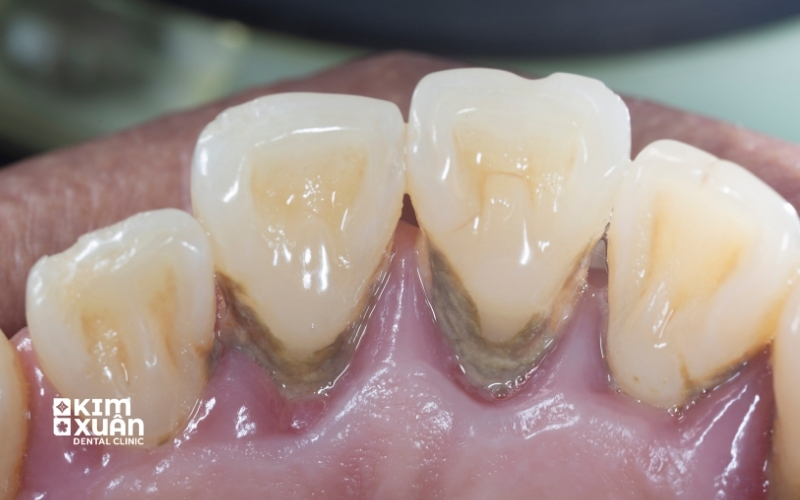
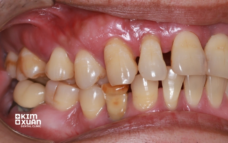
2. Dấu Hiệu Viêm Nha Chu Và Cách Nhận Biết Sớm
Ở trạng thái khỏe mạnh, nướu răng hồng hào, săn chắc và ôm sát thân răng. Khi mắc viêm nha chu, những thay đổi rõ rệt có thể xuất hiện:
-
Tăng độ sâu rãnh nướu, nướu tụt xuống làm răng trông dài hơn.
-
Nướu đổi màu: đỏ tươi, đỏ thẫm hoặc đỏ tím.
-
Nhú nướu sưng, phì đại, có thể tạo thành túi lợi giả.
-
Chảy máu khi chải răng hoặc dùng chỉ nha khoa.
-
Hơi thở có mùi hôi dai dẳng.
-
Có mủ giữa răng và nướu.
-
Răng lung lay, đau khi ăn nhai.
-
Trường hợp nặng có thể gây rụng răng.

3. Phân Loại Viêm Nha Chu (Theo AAP 2017)
Phân loại viêm nha chu (theo AAP 2017)
3.1. Viêm nha chu mạn tính
-
Thường gặp nhất, tiến triển chậm, liên quan đến mảng bám tích tụ. Chiếm khoảng 85% trường hợp nhẹ - trung bình.
3.2. Viêm nha chu hoại tử
-
Tiến triển rất nhanh, gây loét, đau, chảy máu nhiều. Thường gặp ở bệnh nhân suy giảm miễn dịch (HIV, stress nặng, suy dinh dưỡng).
3.3. Viêm nha chu do bệnh lý toàn thân
-
Xuất hiện ở người mắc bệnh huyết học, rối loạn di truyền (Down, Crohn…), mức độ viêm nặng hơn so với lượng mảng bám.
4. Tác Động Của Viêm Nha Chu Tới Sức Khỏe
Không chỉ gây mất răng, viêm nha chu còn được chứng minh liên quan đến nhiều bệnh toàn thân:
-
Tăng nguy cơ bệnh tim mạch, cao huyết áp, nhồi máu cơ tim.
-
Ảnh hưởng đến kiểm soát đường huyết ở bệnh nhân tiểu đường.
-
Gia tăng nguy cơ viêm phổi, COPD.
-
Liên quan đến viêm khớp dạng thấp, Alzheimer.
-
Tăng nguy cơ sinh non - nhẹ cân ở phụ nữ mang thai.
Xem Thêm: Làm Răng Giả Cho Người Già Giá bao Nhiêu 2026
5. Khi Nào Cần Đi Khám Bác Sĩ?
Bạn nên gặp nha sĩ khi xuất hiện:
-
Nướu chảy máu thường xuyên
-
Hơi thở hôi kéo dài
-
Nướu sưng đỏ, đau
-
Răng lung lay, ê buốt
-
Tụt nướu khiến răng dài hơn bình thường
Phát hiện sớm giúp điều trị đơn giản, ít tốn kém và hiệu quả cao hơn.
6. Nguyên Nhân Gây Viêm Nha Chu
Viêm nha chu chủ yếu bắt nguồn từ thói quen vệ sinh răng miệng chưa đúng cách, khiến mảng bám hình thành và bám chặt trên bề mặt răng. Mảng bám là lớp màng mềm chứa hàng triệu vi khuẩn, được tạo ra từ thức ăn thừa còn bám lại sau mỗi bữa ăn. Nếu không được làm sạch thường xuyên, lớp mảng này sẽ dần cứng lại thành cao răng.
Cao răng bám ở sát nướu hoặc dưới nướu tạo điều kiện cho vi khuẩn phát triển mạnh hơn. Các vi khuẩn này tiết ra độc tố gây viêm, phá vỡ mô nướu và xương quanh răng, từ đó dẫn đến tụt nướu và hình thành túi nha chu.
Các yếu tố làm tăng nguy cơ mắc viêm nha chu
Bên cạnh vệ sinh răng miệng kém, nhiều yếu tố khác cũng góp phần khiến bệnh dễ xuất hiện hoặc tiến triển nhanh hơn:
-
Hút thuốc lá: Giảm lưu thông máu ở nướu, khiến mô nướu yếu hơn và dễ bị nhiễm trùng.
-
Thay đổi nội tiết tố: Giai đoạn dậy thì, mang thai hoặc mãn kinh khiến nướu nhạy cảm và dễ viêm hơn.
-
Bệnh lý nền: Những người bị tiểu đường, HIV, ung thư, viêm khớp dạng thấp hoặc béo phì thường có sức đề kháng kém, dễ bị viêm nhiễm nha chu.
-
Tác dụng phụ của thuốc: Một số loại thuốc làm khô miệng, giảm nước bọt - yếu tố quan trọng giúp bảo vệ khoang miệng. Khi miệng khô, vi khuẩn gây bệnh có khả năng phát triển mạnh hơn.
-
Yếu tố di truyền: Nếu trong gia đình có người từng bị viêm nha chu, nguy cơ mắc bệnh của bạn có thể cao hơn bình thường.
Xem Thêm: Giá Cạo Vôi Răng Bao Nhiêu? Bảng Giá Mới Nhất 2026
Xem Thêm: Viêm Nướu Răng (Viêm Lợi) Dấu Hiệu Nhận Biết Và Cách Điều Trị

7. Những Đối Tượng Có Nguy Cơ Cao Mắc Bệnh Viêm Nha Chu
Viêm nha chu có thể gặp ở bất kỳ ai, nhưng một số nhóm người có nguy cơ cao hơn do những yếu tố ảnh hưởng trực tiếp đến sức khỏe nướu và khả năng đề kháng. Những đối tượng dễ mắc viêm nha chu bao gồm:
-
Người lớn tuổi: Theo thời gian, mô nha chu và xương ổ răng dần suy yếu, khiến bệnh dễ khởi phát hơn.
-
Người hút thuốc lá: Khói thuốc làm giảm lưu thông máu ở nướu, giảm khả năng tự phục hồi và tăng nguy cơ viêm nhiễm.
-
Người bị tiểu đường: Đường huyết cao tạo điều kiện cho vi khuẩn phát triển và làm chậm quá trình lành thương.
-
Chế độ dinh dưỡng kém: Thiếu vitamin C và các dưỡng chất quan trọng khiến mô nướu dễ tổn thương và kém bền vững.
-
Stress kéo dài: Stress làm suy giảm hệ miễn dịch, khiến cơ thể khó chống lại vi khuẩn gây bệnh nha chu.
-
Phụ nữ mang thai hoặc mãn kinh: Thay đổi nội tiết tố khiến nướu nhạy cảm hơn và dễ bị viêm.
-
Béo phì: Tình trạng viêm mạn tính trong cơ thể có thể làm tăng nguy cơ viêm nha chu.
-
Tiền sử gia đình có người bị nha chu: Yếu tố di truyền có thể ảnh hưởng đến cấu trúc mô nướu và khả năng chống vi khuẩn.
-
Người suy giảm miễn dịch: Bệnh nhân HIV/AIDS, ung thư hoặc bệnh bạch cầu rất dễ gặp viêm nha chu do hệ miễn dịch suy yếu.
Xem Thêm: Mất Răng Lâu Năm Có Trồng Răng Được Không?

8. Phương Pháp Điều Trị Viêm Nha Chu
Tùy thuộc vào mức độ nặng nhẹ của bệnh, bác sĩ sẽ lựa chọn phương pháp điều trị phù hợp. Điều trị nha chu thường gồm hai nhóm chính: không phẫu thuật và phẫu thuật.
8.1. Điều trị không phẫu thuật
Phương pháp này được ưu tiên trong giai đoạn nhẹ đến trung bình, khi mô nướu chưa bị phá hủy quá nhiều.
Cạo vôi răng - loại bỏ mảng bám: Đây là bước quan trọng giúp làm sạch các mảng bám và cao răng tích tụ quanh nướu.
Bào láng chân răng: Bề mặt chân răng được làm nhẵn để hạn chế tái bám vi khuẩn, giúp nướu dễ bám lại vào răng hơn.
Kiểm soát bệnh toàn thân: Người mắc tiểu đường, viêm khớp hoặc các bệnh mạn tính khác cần điều trị ổn định để hỗ trợ quá trình hồi phục của nướu.
Ngừng hút thuốc: Hút thuốc làm giảm khả năng lành thương và khiến tình trạng viêm trở nên nghiêm trọng hơn.
Sử dụng kháng sinh (khi cần):
-
Kháng sinh toàn thân: Amoxicillin 500mg, uống 3 lần/ngày trong 10 ngày.
-
Kháng sinh tại chỗ: Minocycline hoặc gel doxycycline đặt trực tiếp vào túi nha chu giúp giảm vi khuẩn nhanh chóng.
Tái khám sau khoảng 3 tuần: Đây là thời điểm đánh giá mức độ đáp ứng điều trị và quyết định có cần can thiệp sâu hơn hay không.
8.2. Điều trị phẫu thuật
Được chỉ định khi túi nha chu quá sâu hoặc xương quanh răng đã bị tiêu nhiều.
-
Phẫu thuật tạo vạt: Bác sĩ sẽ nhẹ nhàng lật nướu để tiếp cận vùng chân răng và xương bị tổn thương, giúp loại bỏ sạch vi khuẩn và làm đều lại bề mặt xương.
-
Ghép mô mềm: Áp dụng khi nướu bị tụt nhiều. Việc ghép mô giúp che phủ chân răng, cải thiện thẩm mỹ và giảm ê buốt.
-
Ghép xương: Trong trường hợp mất xương nhiều, ghép xương được thực hiện để tái tạo lại nền xương quanh răng, tăng độ vững chắc và giúp phục hồi cấu trúc nha chu.
Xem Thêm: Người Già Có Nên Trồng Răng Implant Không?
9. Chế Độ Chăm Sóc Và Phòng Ngừa Viêm Nha Chu
9.1. Chăm sóc tại nhà
-
Đánh răng đúng kỹ thuật 2 - 3 lần/ngày.
-
Dùng chỉ nha khoa hoặc tăm nước mỗi ngày.
-
Súc miệng kháng khuẩn nếu được chỉ định.
-
Hạn chế đồ ngọt, cà phê, thuốc lá.
-
Giữ tinh thần thoải mái, giảm stress.
9.2. Chế độ dinh dưỡng
-
Ăn nhiều rau xanh, trái cây giàu vitamin C.
-
Uống đủ nước, hạn chế thức ăn quá cứng hoặc dính.
9.3. Phòng ngừa hiệu quả
-
Khám răng định kỳ 6 tháng/lần.
-
Lấy cao răng thường xuyên.
-
Dùng bàn chải lông mềm, thay 3 tháng/lần.
-
Cân nhắc dùng bàn chải điện để làm sạch sâu hơn.
Kết Luận
Viêm nha chu là bệnh lý răng miệng nghiêm trọng nhưng hoàn toàn có thể kiểm soát nếu được phát hiện sớm, điều trị đúng phác đồ và duy trì thói quen vệ sinh răng miệng khoa học. Khi xuất hiện các dấu hiệu như chảy máu nướu, hôi miệng kéo dài, nướu tụt hoặc răng lung lay, bạn nên đi thăm khám càng sớm càng tốt để ngăn ngừa nguy cơ tiêu xương và mất răng.
Để bảo vệ sức khỏe răng miệng và hạn chế các biến chứng toàn thân, bạn nên khám răng định kỳ mỗi 3–6 tháng tại cơ sở nha khoa uy tín.
Nếu bạn đang gặp các dấu hiệu nghi ngờ viêm nha chu, hãy liên hệ Nha khoa Kim Xuân để được tư vấn, kiểm tra và điều trị kịp thời. Đội ngũ bác sĩ giàu kinh nghiệm và trang thiết bị hiện đại sẽ giúp bạn yên tâm trong suốt quá trình chăm sóc.
Nha Khoa Kim Xuân - Bình Thạnh TP. HCM
Địa Chỉ: 165 Ngô Tất Tố, Phường Thạnh Mỹ Tây, Tp Hồ Chí Minh
Hotline: 0899 922 668 (Viber, Zalo, FaceTime)
ZaLo: https://zalo.me/nhakhoakimxuan
WebSite: https://nhakhoakimxuan.com.vn